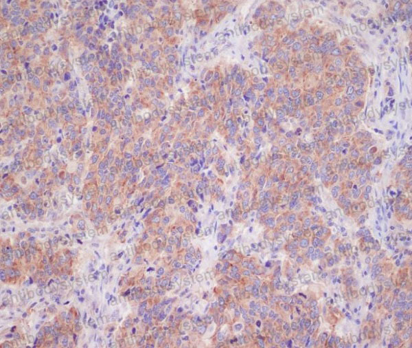
Anti-YWHAB Antibody (R1U33) (RHD97504)
Реактивность подтвержденная:
человек, мышь, крыса
Источник (хозяин):
кролик
Валидировано для:
FCM
IHC
WB
Характеристики
Техническое описание
| Русское название | RHD97504 Моноклональное антитело к YWHAB (R1U33) <AntibodySystem,Китай> |
| Каталожный номер | RHD97504 |
| Название антигена | Tyrosine 3/Tryptophan 5 Monooxygenase Activation Protein Beta (YWHAb) |
| UNIPROT | P31946, P63104 |
| Английские синонимы | HS1, GW128, KCIP-1, 14-3-3 protein beta/alpha, Protein 1054, Protein kinase C inhibitor protein 1 |
Реактивность подтвержденная Нужна другая реактивность? |
человек, мышь, крыса |
| Источник (хозяин) | кролик |
| Изотип | IgG |
| Клональность | моноклональное |
| Клон | R1U33 |
| Рекомбинантное | да |
| Готовое к использованию | нет |
| Концентрация | 1 мг/мл |
| Конъюгат | нет |
| Валидировано для | FCM IHC WB Проточная цитометрия; Иммуногистохимия; Вестерн-блоттинг |
| Рекомендуемые разведения | FCM: 1:20-1:100, IHC: 1:100-1:200, WB: 1:1000-1:2000 |
| Метод очистки | Очистка с белками A/G из супернатанта клеточной культуры |
| Чистота | >95% |
| Состав буфера | 0.01M PBS, pH 7.4, 0.05% БСА, 50% глицерин, 0.05% азид натрия |
| Условия доставки | термобокс с аккумуляторами холода |
| Условия хранения | Хранить при -20 С -12 месяцев |
| Срок хранения | 12 месяцев |
| Производитель | AntibodySystem |
| Ссылка на страницу товара на сайте производителя | https://www.antibodysystem.com/product/31468.html |
|
Артикул
|
Наименование |
Производитель
|
|---|
|
Артикул
|
Наименование |
Производитель
|
|---|
Акции и предложения
Популярные продукты:
Anti-Human CD138/SDC1 Antibody (Fs0317), PerCP (FHD30824)
Источник (хозяин): мышь
Реактивность подтвержденная: человек
Валидировано для: ELISA, FCM, IF, WB
Реактивность подтвержденная: человек
Валидировано для: ELISA, FCM, IF, WB
Chicken Valproic Acid ELISA kit (E12V0432)
Организм: курица
Goat Valproic Acid ELISA kit (E06V0432)
Организм: коза
Rabbit Valproic Acid ELISA kit (E04V0432)
Организм: кролик
Rat Valproic Acid ELISA kit (E02V0432)
Организм: крыса
Hamster Valproic Acid ELISA kit (E18V0432)
Организм: хомяк

