| UNIPROT | Q05996 |
Anti-ZP2 Antibody (R3R21) (RHG06501)
Реактивность подтвержденная:
человек, мышь, крыса
Источник (хозяин):
мышь
Валидировано для:
ELISA
FCM
IHC
Характеристики
Техническое описание
| Русское название | RHG06501 Моноклональное антитело к ZP2 (R3R21) <AntibodySystem,Китай> |
| Каталожный номер | RHG06501 |
| Название антигена | Zona Pellucida Glycoprotein 2, Sperm Receptor (ZP2) |
| UNIPROT | Q05996 |
| Английские синонимы | ZPA, Zona Pellucida Sperm-Binding Protein 2, Zona pellucida protein A |
Реактивность подтвержденная Нужна другая реактивность? |
человек, мышь, крыса |
| Источник (хозяин) | мышь |
| Изотип | IgG1 |
| Клональность | моноклональное |
| Клон | R3R21 |
| Рекомбинантное | да |
| Готовое к использованию | нет |
| Концентрация | 1 мг/мл |
| Конъюгат | нет |
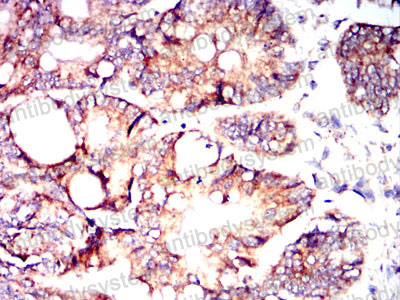
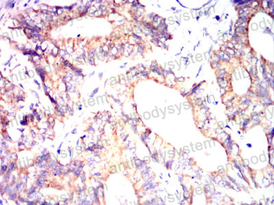
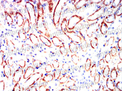
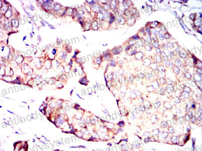
| Валидировано для | ELISA FCM IHC Иммуноферментный анализ; Проточная цитометрия; Иммуногистохимия |
| Рекомендуемые разведения | ELISA: 1:10000, FCM: 1:200-1:400, IHC: 1:200-1:1000 |
| Метод очистки | Очистка с белками A/G из супернатанта клеточной культуры |
| Чистота | >95% |
| Состав буфера | 0.01M PBS, pH 7.4, 0.05% натрия азид |
| Условия хранения | Хранить при 4°C не более 1-2 недель. Хранить при -20°C - 12 месяцев |
| Срок хранения | 12 месяцев |
| Производитель | AntibodySystem |
| Ссылка на страницу товара на сайте производителя | https://www.antibodysystem.com/product/36187.html |
|
Артикул
|
Наименование |
Производитель
|
|---|
|
Артикул
|
Наименование |
Производитель
|
|---|
|
Артикул
|
Наименование |
Производитель
|
|---|
Акции и предложения
Популярные продукты:
Anti-ZP2 Antibody (R3R21) (RHG06501)
Источник (хозяин): мышь
Реактивность подтвержденная: человек, мышь, крыса
Валидировано для: ELISA, FCM, IHC
Реактивность подтвержденная: человек, мышь, крыса
Валидировано для: ELISA, FCM, IHC
Nucleolin Recombinant Rabbit mAb (ARM2275)
Источник (хозяин): кролик
Реактивность подтвержденная: человек, мышь, крыса
Валидировано для: IP, WB
Реактивность подтвержденная: человек, мышь, крыса
Валидировано для: IP, WB
Polyclonal Antibody to Nucleolin (NCL) (PAC242Hu03)
Источник (хозяин): кролик
Реактивность подтвержденная: человек
Валидировано для: WB
Реактивность подтвержденная: человек
Валидировано для: WB
Polyclonal Antibody to Nucleolin (NCL) (PAC242Hu02)
Источник (хозяин): кролик
Реактивность подтвержденная: человек
Валидировано для: WB
Реактивность подтвержденная: человек
Валидировано для: WB
Polyclonal Antibody to Nucleolin (NCL) (PAC242Mu01)
Источник (хозяин): кролик
Реактивность подтвержденная: мышь
Валидировано для: IHC, WB
Реактивность подтвержденная: мышь
Валидировано для: IHC, WB
Polyclonal Antibody to Nucleolin (NCL) (PAC242Hu01)
Источник (хозяин): кролик
Реактивность подтвержденная: человек
Валидировано для: IHC, WB
Реактивность подтвержденная: человек
Валидировано для: IHC, WB

