| UNIPROT | P08758 |
| Иммуноген | Рекомбинантный белок, соответствующий человеческому ANXA5 |
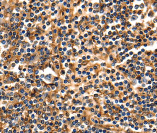
ANXA5 Polyclonal Antibody (E-AB-10044)
Реактивность подтвержденная:
человек, мышь, крыса
Источник (хозяин):
кролик
Валидировано для:
IHC
WB
Характеристики
Техническое описание
| Каталожный номер | E-AB-10044 |
| Название антигена | Annexin A5 (ANXA5) |
| UNIPROT | P08758 |
| Иммуноген | Рекомбинантный белок, соответствующий человеческому ANXA5 |
| Английские синонимы | ANX5, ENX2, PP4, PAP-I, CBP-I, Anchorin CII, Calphobindin I, Endonexin II, Lipocortin V, Placental anticoagulant protein 4, Thromboplastin inhibitor, Vascular anticoagulant-alpha |
Реактивность подтвержденная Нужна другая реактивность? |
человек, мышь, крыса |
| Источник (хозяин) | кролик |
| Изотип | IgG |
| Клональность | поликлональное |
| Рекомбинантное | нет |
| Готовое к использованию | нет |
| Концентрация | 0.4 мг/мл |
| Конъюгат | нет |
| Валидировано для | IHC WB Иммуногистохимия; Вестерн-блоттинг |
| Рекомендуемые разведения | WB 1:500-1:2000; IHC 1:50-1:200 |
| Метод очистки | Аффинная хроматография |
| Состав буфера | PBS с 0.05% азид натрия и 50% глицерин, PH7.4 |
| RRID | AB_530183 |
| Условия доставки | термобокс с аккумуляторами холода |
| Условия хранения | Хранить при -20°C - 12 месяцев. Избегать повторяющихся циклов замораживания/оттаивания |
| Срок хранения | 12 месяцев |
| Производитель | Elabscience |
| Ссылка на страницу товара на сайте производителя | https://www.elabscience.com/p-anxa5_polyclonal_antibody-e_ab_10044 |
|
Артикул
|
Наименование |
Производитель
|
|---|
|
Артикул
|
Наименование |
Производитель
|
|---|
|
Артикул
|
Наименование |
Производитель
|
|---|
|
Артикул
|
Наименование |
Производитель
|
|---|
|
Артикул
|
Наименование |
Производитель
|
|---|
|
Артикул
|
Наименование |
Производитель
|
|---|
|
Артикул
|
Наименование |
Производитель
|
|---|
|
Артикул
|
Наименование |
Производитель
|
|---|
|
Артикул
|
Наименование |
Производитель
|
|---|
Акции и предложения
Популярные продукты:
Monkey Amyloid β Protein 40 ELISA kit (E09A0049)
Организм: обезьяна
Диапазон определения: 50-1000 пг/мл
Чувствительность: 1 пг/мл
Диапазон определения: 50-1000 пг/мл
Чувствительность: 1 пг/мл
Recombinant Human DLL1 Protein, C-His (EHA15301)
Источник (хозяин): клетки млекопитающих
Организм: человек
Фрагмент: Met1-Gly540
Теги: C-His
Биоактивность: нет
Организм: человек
Фрагмент: Met1-Gly540
Теги: C-His
Биоактивность: нет
NSMCE3 Polyclonal Antibody (E-AB-16215)
Источник (хозяин): кролик
Реактивность подтвержденная: человек, мышь
Валидировано для: IHC, WB
Реактивность подтвержденная: человек, мышь
Валидировано для: IHC, WB
ANXA5 Polyclonal Antibody (E-AB-10044)
Источник (хозяин): кролик
Реактивность подтвержденная: человек, мышь, крыса
Валидировано для: IHC, WB
Реактивность подтвержденная: человек, мышь, крыса
Валидировано для: IHC, WB
PE Anti-Human IFN-γ Antibody[B27] (E-AB-F1196D)
Источник (хозяин): мышь
Реактивность подтвержденная: человек
Валидировано для: FCM
Реактивность подтвержденная: человек
Валидировано для: FCM
beta Amyloid 1-42 Antibody (AF0019)
Источник (хозяин): кролик
Реактивность подтвержденная: человек, обезьяна
Валидировано для: WB
Реактивность подтвержденная: человек, обезьяна
Валидировано для: WB

