| UNIPROT | Q9UKG1 |
| Иммуноген | Рекомбинантный гибридный белок из человеческого APPL1 (NP_036228.1) |
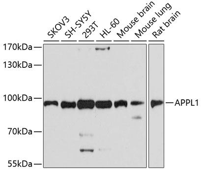
APPL1 Polyclonal Antibody (E-AB-63089)
Реактивность подтвержденная:
человек, мышь, крыса
Источник (хозяин):
кролик
Валидировано для:
WB
Характеристики
Техническое описание
| Каталожный номер | E-AB-63089 |
| Название антигена | Adaptor Protein Phosphotyrosine Interaction PH Domain And leucine Zipper Containing Protein 1 (APPL1) |
| UNIPROT | Q9UKG1 |
| Иммуноген | Рекомбинантный гибридный белок из человеческого APPL1 (NP_036228.1) |
| Английские синонимы | APPL, DIP13A, DIP13alpha, DCC-interacting protein 13-alpha |
Реактивность подтвержденная Нужна другая реактивность? |
человек, мышь, крыса |
| Источник (хозяин) | кролик |
| Изотип | IgG |
| Клональность | поликлональное |
| Рекомбинантное | нет |
| Готовое к использованию | нет |
| Концентрация | 1мг/мл |
| Конъюгат | нет |
| Валидировано для | WB Вестерн-блоттинг |
| Рекомендуемые разведения | WB 1:500-1:2000 |
| Метод очистки | Аффинная хроматография |
| Состав буфера | PBS с 0.02% азид натрия, 50% глицерин, pH7.3 |
| RRID | AB_525736 |
| Условия доставки | термобокс с аккумуляторами холода |
| Условия хранения | Хранить при -20°C - 12 месяцев. Избегать повторяющихся циклов замораживания/оттаивания |
| Срок хранения | 12 месяцев |
| Производитель | Elabscience |
| Ссылка на страницу товара на сайте производителя | https://www.elabscience.com/p-appl1_polyclonal_antibody-e_ab_63089 |
|
Артикул
|
Наименование |
Производитель
|
|---|
|
Артикул
|
Наименование |
Производитель
|
|---|
|
Артикул
|
Наименование |
Производитель
|
|---|
Акции и предложения
Популярные продукты:
Monkey Succinic Acid ELISA Kit (E09S0475)
Организм: обезьяна
Rabbit Copine 1(CPNE1) ELISA kit (E04C2010)
Организм: кролик
Rat Proteoglycan 4 ELISA kit (E02P0163)
Организм: крыса
Monkey Vitamin K2 ELISA kit (E09V0414)
Организм: обезьяна
Sheep F Box Protein 2 ELISA kit (E14F0062)
Организм: овца
Rabbit Endothelin 3(EDN3) ELISA kit (E04E0367)
Организм: кролик

