| UNIPROT | Q13017 |
| Иммуноген | Рекомбинантный белок, соответствующий человеческому ARHGAP5 |
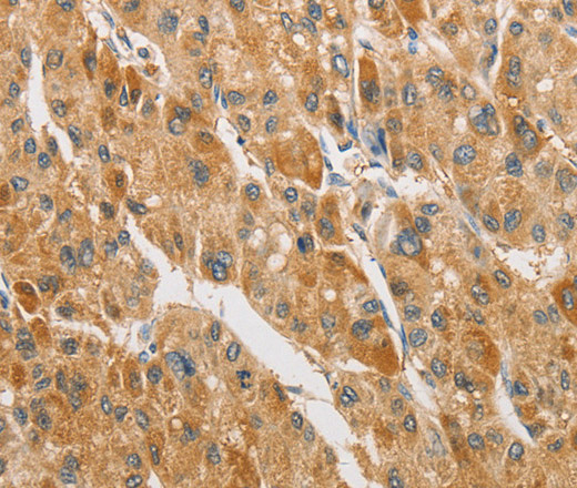
ARHGAP5 Polyclonal Antibody (E-AB-14603)
Реактивность подтвержденная:
человек, мышь
Источник (хозяин):
кролик
Валидировано для:
IHC
Характеристики
Техническое описание
| Каталожный номер | E-AB-14603 |
| Название антигена | Rho GTPase Activating Protein 5 (ARHGAP5) |
| UNIPROT | Q13017 |
| Иммуноген | Рекомбинантный белок, соответствующий человеческому ARHGAP5 |
| Английские синонимы | RhoGAP5, p190-B, GFI2, Growth Factor Independent 2 |
Реактивность подтвержденная Нужна другая реактивность? |
человек, мышь |
| Источник (хозяин) | кролик |
| Изотип | IgG |
| Клональность | поликлональное |
| Рекомбинантное | нет |
| Готовое к использованию | нет |
| Концентрация | 0.2 мг/мл |
| Конъюгат | нет |
| Валидировано для | IHC Иммуногистохимия |
| Рекомендуемые разведения | IHC 1:50-1:200 |
| Метод очистки | Аффинная хроматография |
| Состав буфера | PBS с 0.05% азид натрия и 50% глицерин, PH7.4 |
| RRID | AB_534744 |
| Условия доставки | термобокс с аккумуляторами холода |
| Условия хранения | Хранить при -20°C - 12 месяцев. Избегать повторяющихся циклов замораживания/оттаивания |
| Срок хранения | 12 месяцев |
| Производитель | Elabscience |
| Ссылка на страницу товара на сайте производителя | https://www.elabscience.com/p-arhgap5_polyclonal_antibody-e_ab_14603 |
|
Артикул
|
Наименование |
Производитель
|
|---|
|
Артикул
|
Наименование |
Производитель
|
|---|
Акции и предложения
Популярные продукты:
Guinea Pig Glucagon Like Peptide 1 ELISA kit (E05G0031)
Организм: морская свинка
Recombinant Mouse DCC Protein, N-His (YME39801)
Источник (хозяин): E.coli
Организм: мышь
Фрагмент: Ser39-Ser232
Теги: N-His
Биоактивность: нет
Организм: мышь
Фрагмент: Ser39-Ser232
Теги: N-His
Биоактивность: нет
Recombinant Human POLQ Protein, N-His-SUMO (YHB19401)
Источник (хозяин): E.coli
Организм: человек
Фрагмент: Met1-Met894
Теги: N-His-SUMO
Биоактивность: нет
Организм: человек
Фрагмент: Met1-Met894
Теги: N-His-SUMO
Биоактивность: нет
Recombinant Human GNG2 Protein, N-His-SUMO (YHF31801)
Источник (хозяин): E.coli
Организм: человек
Фрагмент: Ala2-Leu71
Теги: N-His-SUMO
Биоактивность: нет
Организм: человек
Фрагмент: Ala2-Leu71
Теги: N-His-SUMO
Биоактивность: нет
Recombinant Human DSP Protein, N-His (YHD14001)
Источник (хозяин): E.coli
Организм: человек
Фрагмент: Phe2609-Ala2822
Теги: N-His
Биоактивность: нет
Организм: человек
Фрагмент: Phe2609-Ala2822
Теги: N-His
Биоактивность: нет

