| UNIPROT | P08243 |
| Иммуноген | Рекомбинантный белок, соответствующий человеческому ASNS |
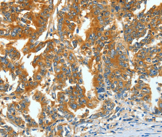
ASNS Polyclonal Antibody (E-AB-10967)
Реактивность подтвержденная:
человек, мышь, крыса
Источник (хозяин):
кролик
Валидировано для:
IHC
WB
Характеристики
Техническое описание
| Каталожный номер | E-AB-10967 |
| Название антигена | Asparagine Synthetase (ASNS) |
| UNIPROT | P08243 |
| Иммуноген | Рекомбинантный белок, соответствующий человеческому ASNS |
| Английские синонимы | Aspartate-Ammonia Ligase, Asparagine synthetase [glutamine-hydrolyzing], Cell cycle control protein TS11, Glutamine-dependent asparagine synthetase |
Реактивность подтвержденная Нужна другая реактивность? |
человек, мышь, крыса |
| Источник (хозяин) | кролик |
| Изотип | IgG |
| Клональность | поликлональное |
| Рекомбинантное | нет |
| Готовое к использованию | нет |
| Концентрация | 0.5 мг/мл |
| Конъюгат | нет |
| Валидировано для | IHC WB Иммуногистохимия; Вестерн-блоттинг |
| Рекомендуемые разведения | WB 1:500-1:2000; IHC 1:50-1:200 |
| Метод очистки | Аффинная хроматография |
| Состав буфера | PBS с 0.05% азид натрия и 50% глицерин, PH7.4 |
| RRID | AB_531106 |
| Условия доставки | термобокс с аккумуляторами холода |
| Условия хранения | Хранить при -20°C - 12 месяцев. Избегать повторяющихся циклов замораживания/оттаивания |
| Срок хранения | 12 месяцев |
| Производитель | Elabscience |
| Ссылка на страницу товара на сайте производителя | https://www.elabscience.com/p-asns_polyclonal_antibody-e_ab_10967 |
|
Артикул
|
Наименование |
Производитель
|
|---|
|
Артикул
|
Наименование |
Производитель
|
|---|
|
Артикул
|
Наименование |
Производитель
|
|---|
|
Артикул
|
Наименование |
Производитель
|
|---|
Акции и предложения
Популярные продукты:
ELISA Kit for Nuclear Receptor Related Protein 1 (NURR1) (RD964S-Mi)
Организм: человек, мышь, крыса
Диапазон определения: 0.156-10 нг/мл
Чувствительность: 0.054 нг/мл
Диапазон определения: 0.156-10 нг/мл
Чувствительность: 0.054 нг/мл
ZNF22 Mouse Monoclonal Antibody (BF8785)
Источник (хозяин): мышь
Реактивность подтвержденная: человек
Валидировано для: WB
Реактивность подтвержденная: человек
Валидировано для: WB
PE-Linked Polyclonal Antibody to Ciliary Neurotrophic Factor (CNTF) (LAA021Ra41)
Источник (хозяин): кролик
Реактивность подтвержденная: крыса
Валидировано для: ICC, IF, IHC, WB
Реактивность подтвержденная: крыса
Валидировано для: ICC, IF, IHC, WB
ELISA Kit DIY Materials for Mitofusin 2 (MFN2) (KSF591Hu01)
Организм: человек
Диапазон определения: 0.156-10 нг/мл
Чувствительность: 0.054 нг/мл
Диапазон определения: 0.156-10 нг/мл
Чувствительность: 0.054 нг/мл
Monoclonal Antibody to Capsaicin (CPS) (MAV921Ge22)
Источник (хозяин): мышь
Реактивность подтвержденная: для всех
Валидировано для: ELISA
Реактивность подтвержденная: для всех
Валидировано для: ELISA

