| UNIPROT | P12023 |
| Иммуноген | KLH-конъюгированный синтетический пептид, соответствующий мышиному APP |
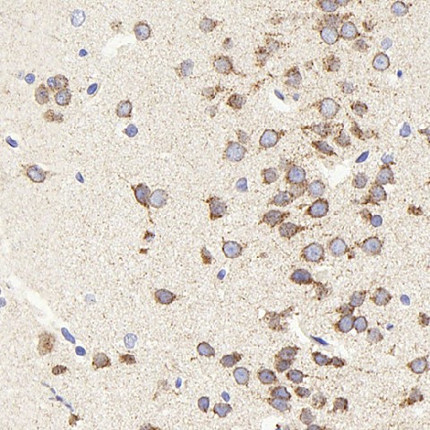
beta Amyloid Polyclonal Antibody (E-AB-70168)
Реактивность подтвержденная:
мышь, крыса
Источник (хозяин):
кролик
Валидировано для:
IHC
Характеристики
Публикации
Техническое описание
| Каталожный номер | E-AB-70168 |
| Название антигена | Amyloid Precursor Protein (APP) |
| UNIPROT | P12023 |
| Иммуноген | KLH-конъюгированный синтетический пептид, соответствующий мышиному APP |
| Английские синонимы | AAA, ABeta, ABPP, AD1, APPI, CVAP, PN2, CTFgamma, Peptidase Nexin-II Alzheimer Disease, Peptidase Nexin-II, Amyloid Beta(A4)Precursor Protein |
| Русские синонимы | АРР |
Реактивность подтвержденная Нужна другая реактивность? |
мышь, крыса |
| Источник (хозяин) | кролик |
| Изотип | IgG |
| Клональность | поликлональное |
| Рекомбинантное | нет |
| Готовое к использованию | нет |
| Концентрация | 308 мкг/мл |
| Конъюгат | нет |
| Валидировано для | IHC Иммуногистохимия |
| Рекомендуемые разведения | IHC 1:200-1:800 |
| Метод очистки | Аффинная хроматография |
| Состав буфера | PBS с 0.02% азид натрия, 1% стабилизирующий белок и 50% глицерин, pH7.4 |
| RRID | AB_558472 |
| Условия доставки | термобокс с аккумуляторами холода |
| Условия хранения | Хранить при -20°C - 12 месяцев. Избегать повторяющихся циклов замораживания/оттаивания |
| Срок хранения | 12 месяцев |
| Производитель | Elabscience |
| Ссылка на страницу товара на сайте производителя | https://www.elabscience.com/p-beta_amyloid_polyclonal_antibody-e_ab_70168 |
|
Артикул
|
Наименование |
Производитель
|
|---|
|
Артикул
|
Наименование |
Производитель
|
|---|
|
Артикул
|
Наименование |
Производитель
|
|---|
|
Артикул
|
Наименование |
Производитель
|
|---|
|
Артикул
|
Наименование |
Производитель
|
|---|
|
Артикул
|
Наименование |
Производитель
|
|---|
|
Артикул
|
Наименование |
Производитель
|
|---|
|
Артикул
|
Наименование |
Производитель
|
|---|
Акции и предложения
Популярные продукты:
Mouse Fibrillin 2 ELISA kit (E03F0060)
Организм: мышь
Human Copeptin ELISA kit (E01C0088)
Организм: человек
Диапазон определения: 250-5000 пг/мл
Чувствительность: 1 пг/мл
Диапазон определения: 250-5000 пг/мл
Чувствительность: 1 пг/мл
Monkey GATA Binding Protein 5 ELISA kit (E09G0096)
Организм: обезьяна
Human Neutrophil Elastase ELISA kit (E01N0006)
Организм: человек
Диапазон определения: 2.5-50 нг/мл
Чувствительность: 0.1 нг/мл
Диапазон определения: 2.5-50 нг/мл
Чувствительность: 0.1 нг/мл
Anti-Mouse ERRFI1 Polyclonal Antibody (PMN53101)
Источник (хозяин): кролик
Реактивность подтвержденная: мышь
Валидировано для: ELISA, IHC, WB
Реактивность подтвержденная: мышь
Валидировано для: ELISA, IHC, WB

