Назначение
поликлональное антитело от производителя Elabscience к Osteocalcin (OC) источник — кролик предназначено для детекции целевого антигена в биологических образцах. Продукт характеризуется подтвержденной реактивностью к человек.
Преимущества
- Высокая специфичность и аффинность
- Концентрация: 0.3 мг/мл
- Оптимизированный состав буфера: PBS с 0.05% азид натрия и 50% глицерин, PH7.4
- Стабильность: 12 месяцев
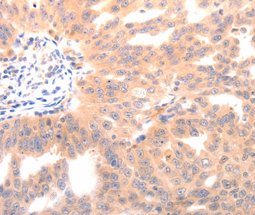
Применение в исследованиях
Антитело валидировано для методов: IHC. Подходит для научных исследований в области иммунологии, клеточной биологии и молекулярной диагностики.
Условия хранения
Срок годности: 12 месяцев. Хранить при -20°C - 12 месяцев. Избегать повторяющихся циклов замораживания/оттаивания. Рекомендуется соблюдать температурный режим при транспортировке и хранении.

