| UNIPROT | Q9H2M3 |
| Иммуноген | Гибридный белок, соответствующий человеческому BHMT2 |
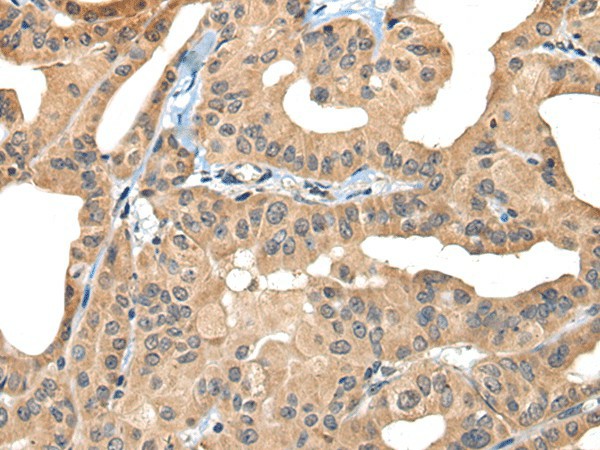
BHMT2 Polyclonal Antibody (E-AB-18539)
Реактивность подтвержденная:
человек, мышь, крыса
Источник (хозяин):
кролик
Валидировано для:
IHC
WB
Характеристики
Техническое описание
| Каталожный номер | E-AB-18539 |
| Название антигена | Betaine Homocysteine Methyltransferase 2 (BHMT2) |
| UNIPROT | Q9H2M3 |
| Иммуноген | Гибридный белок, соответствующий человеческому BHMT2 |
| Английские синонимы | S-methylmethionine--homocysteine S-methyltransferase BHMT2, SMM-hcy methyltransferase |
Реактивность подтвержденная Нужна другая реактивность? |
человек, мышь, крыса |
| Источник (хозяин) | кролик |
| Изотип | IgG |
| Клональность | поликлональное |
| Рекомбинантное | нет |
| Готовое к использованию | нет |
| Концентрация | 0.78 мг/мл |
| Конъюгат | нет |
| Валидировано для | IHC WB Иммуногистохимия; Вестерн-блоттинг |
| Рекомендуемые разведения | WB 1:1000-1:5000; IHC 1:30-1:150 |
| Метод очистки | Аффинная очистка с антигеном |
| Состав буфера | PBS с 0.05% NaN3 и 40% глицерин,pH7.4 |
| Условия доставки | термобокс с аккумуляторами холода |
| Условия хранения | Хранить при -20°C - 12 месяцев. Избегать повторяющихся циклов замораживания/оттаивания |
| Срок хранения | 12 месяцев |
| Производитель | Elabscience |
| Ссылка на страницу товара на сайте производителя | https://www.elabscience.com/p-bhmt2_polyclonal_antibody-e_ab_18539 |
|
Артикул
|
Наименование |
Производитель
|
|---|
|
Артикул
|
Наименование |
Производитель
|
|---|
|
Артикул
|
Наименование |
Производитель
|
|---|
Акции и предложения
Популярные продукты:
ELISA Kit DIY Materials for Cyclin Dependent Kinase 1 (CDK1) (KSB888Hu01)
Организм: человек
Диапазон определения: 0.156-10 нг/мл
Чувствительность: 0.063 нг/мл
Диапазон определения: 0.156-10 нг/мл
Чувствительность: 0.063 нг/мл
Guinea Pig adrenomedullin 2 (ADM2) ELISA kit (E05A1275)
Организм: морская свинка
Guinea Pig Adenylyltransferase and sulfurtransferase MOCS3(MOCS3) ELISA kit (E05A1921)
Организм: морская свинка
Human Cytoplasmic polyadenylation element binding protein 3(CPEB3) ELISA kit (E01C2000)
Организм: человек
Диапазон определения: 100-2500 пг/мл
Чувствительность: 1 пг/мл
Диапазон определения: 100-2500 пг/мл
Чувствительность: 1 пг/мл
Monkey Chemokine C C Motif Ligand 4 Like Protein 1 ELISA kit (E09C0597)
Организм: обезьяна

