| UNIPROT | P04563 |
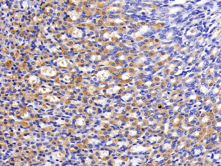
Biotin-Linked Polyclonal Antibody to Gastrin (GT) (LAB224Ra71)
Реактивность подтвержденная:
крыса
Источник (хозяин):
кролик
Валидировано для:
IHC
Характеристики
Техническое описание
| Русское название | LAB224Ra71 Biotin-меченное поликлональное антитело к гастрину (крыса) <Cloud-Clone,Китай> |
| Каталожный номер | LAB224Ra71 |
| Название антигена | Gastrin (GT) |
| UNIPROT | P04563 |
| Английские синонимы | GAST, GAS, Gastrin component I, Big gastrin, Gastrin component II, Gastrin component III |
Реактивность подтвержденная Нужна другая реактивность? |
крыса |
| Источник (хозяин) | кролик |
| Клональность | поликлональное |
| Рекомбинантное | нет |
| Готовое к использованию | нет |
| Концентрация | 500 мкг/мл |
| Конъюгат | Biotin |
| Валидировано для | IHC Иммуногистохимия |
| Рекомендуемые разведения | WB: 0.2-2 мкг/мл; 1:250-2500; IHC: 5-20 мкг/мл; 1:25-100; ICC: 5-20 мкг/мл; 1:25-100; Оптимальное разведение определяется конечным потребителем |
| Метод очистки | Антигенспецифическая аффинная хроматография с последующей аффинной хроматографией с белком А |
| Состав буфера | PBS, pH7.4, 0.02% NaN3, 50% глицерин |
| Условия доставки | термобокс с аккумуляторами холода |
| Условия хранения | Антитела с флуорофорами хранить при +4ºС до 12 месяцев. Антитела с биотином или пероксидазой хранить при -20ºС до 24 месяцев, а для частого использования хранить при +4ºС не более 2 недель. Избегать повторения циклов замерзания/оттаивания |
| Срок хранения | 12 или 24 месяца |
| Производитель | Cloud-Clone Corp. |
| Ссылка на страницу товара на сайте производителя | http://www.cloud-clone.com/products/LAB224Ra71.html |
|
Артикул
|
Наименование |
Производитель
|
|---|
|
Артикул
|
Наименование |
Производитель
|
|---|
|
Артикул
|
Наименование |
Производитель
|
|---|
|
Артикул
|
Наименование |
Производитель
|
|---|
|
Артикул
|
Наименование |
Производитель
|
|---|
|
Артикул
|
Наименование |
Производитель
|
|---|
Акции и предложения
Популярные продукты:
Recombinant 5-Lipoxygenase (5-LO) (RPB355Ra01)
Источник (хозяин): E.coli
Организм: крыса
Фрагмент: Leu373-Leu535
Теги: N-концевой His-Tag
Биоактивность: нет
Организм: крыса
Фрагмент: Leu373-Leu535
Теги: N-концевой His-Tag
Биоактивность: нет
Multiplex Assay Kit for Heparanase 2 (HPA2) (LMD395Hu)
Организм: человек
Диапазон определения: 4.88-5000 пг/мл
Чувствительность: 1.627 пг/мл
Диапазон определения: 4.88-5000 пг/мл
Чувствительность: 1.627 пг/мл
ELISA Kit DIY Materials for S100 Calcium Binding Protein A12 (S100A12) (KSB080Bo01)
Организм: корова
Диапазон определения: 78-5000 пг/мл
Чувствительность: 31 пг/мл
Диапазон определения: 78-5000 пг/мл
Чувствительность: 31 пг/мл
ELISA Kit DIY Materials for Suppressors Of Cytokine Signaling 1 (SOCS1) (KSH158Hu01)
Организм: человек
Диапазон определения: 0.312-20 нг/мл
Чувствительность: 0.122 нг/мл
Диапазон определения: 0.312-20 нг/мл
Чувствительность: 0.122 нг/мл
Mouse Mitofusin 2 ELISA Kit (E03M0701)
Организм: мышь

