| UNIPROT | Q5THQ0 |
Biotin-Linked Polyclonal Antibody to Prolactin (PRL) (LAA846Hu71)
Реактивность подтвержденная:
человек
Источник (хозяин):
кролик
Валидировано для:
IHC
Характеристики
Техническое описание
| Русское название | LAA846Hu71 Biotin-меченное поликлональное антитело к PRL (человек) <Cloud-Clone,Китай> |
| Каталожный номер | LAA846Hu71 |
| Название антигена | Prolactin (PRL) |
| UNIPROT | Q5THQ0 |
| Английские синонимы | LTH, Luteotropic Hormone |
| Русские синонимы | Лактотропный гормон, лактогенный гормон, маммотропин, маммотропный гормон, лютеотропный гормон |
Реактивность подтвержденная Нужна другая реактивность? |
человек |
| Источник (хозяин) | кролик |
| Клональность | поликлональное |
| Рекомбинантное | нет |
| Готовое к использованию | нет |
| Концентрация | 500 мкг/мл |
| Конъюгат | Biotin |
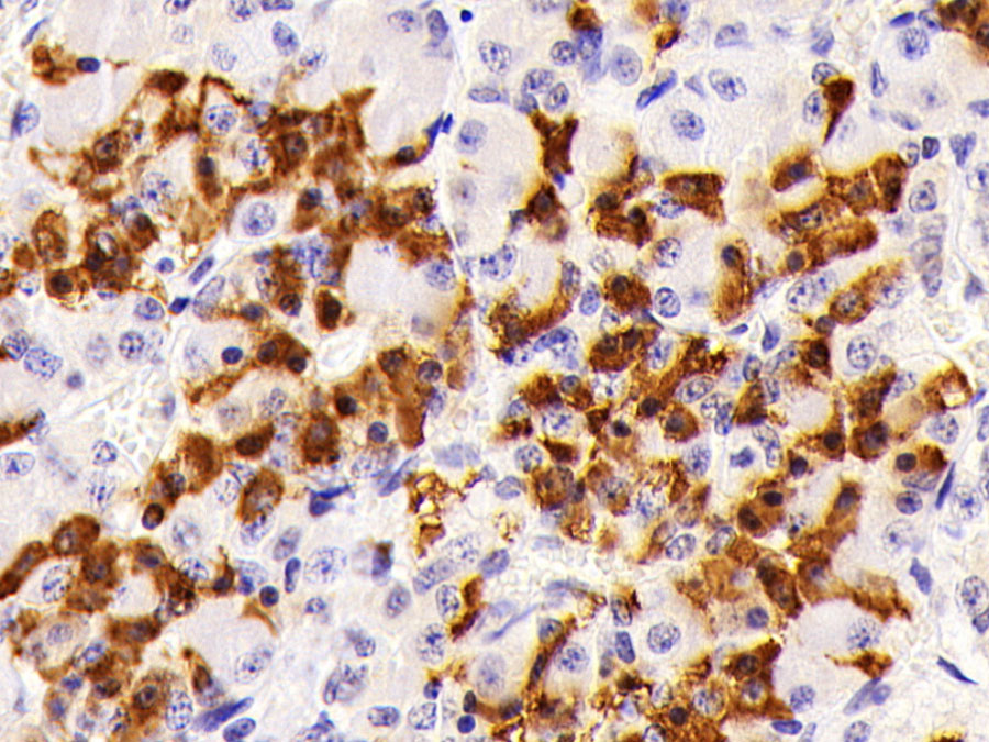
| Валидировано для | IHC Иммуногистохимия |
| Рекомендуемые разведения | WB: 0.2-2 мкг/мл; 1:250-2500; IHC: 5-20 мкг/мл; 1:25-100; ICC: 5-20 мкг/мл; 1:25-100; Оптимальное разведение определяется конечным потребителем |
| Метод очистки | Антигенспецифическая аффинная хроматография с последующей аффинной хроматографией с белком А |
| Состав буфера | PBS, pH7.4, 0.02% NaN3, 50% глицерин |
| Условия доставки | термобокс с аккумуляторами холода |
| Условия хранения | Антитела с флуорофорами хранить при +4ºС до 12 месяцев. Антитела с биотином или пероксидазой хранить при -20ºС до 24 месяцев, а для частого использования хранить при +4ºС не более 2 недель. Избегать повторения циклов замерзания/оттаивания |
| Срок хранения | 12 или 24 месяца |
| Производитель | Cloud-Clone Corp. |
| Ссылка на страницу товара на сайте производителя | http://www.cloud-clone.com/products/LAA846Hu71.html |
|
Артикул
|
Наименование |
Производитель
|
|---|
|
Артикул
|
Наименование |
Производитель
|
|---|
|
Артикул
|
Наименование |
Производитель
|
|---|
|
Артикул
|
Наименование |
Производитель
|
|---|
|
Артикул
|
Наименование |
Производитель
|
|---|
|
Артикул
|
Наименование |
Производитель
|
|---|
|
Артикул
|
Наименование |
Производитель
|
|---|
|
Артикул
|
Наименование |
Производитель
|
|---|
|
Артикул
|
Наименование |
Производитель
|
|---|
Акции и предложения
Популярные продукты:
Rabbit Sentan(SNTN) ELISA kit (E04S0388)
Организм: кролик
Human Aftiphilin(AFTPH) ELISA kit (E01A1307)
Организм: человек
Guinea Pig Cingulin(CGN) ELISA kit (E05C1644)
Организм: морская свинка
Rat Calmin(CLMN) ELISA kit (E02C1803)
Организм: крыса
Human Calmin(CLMN) ELISA kit (E01C1803)
Организм: человек

