| UNIPROT | P00736 |
| Иммуноген | Гибридный белок, соответствующий человеческому C1R |
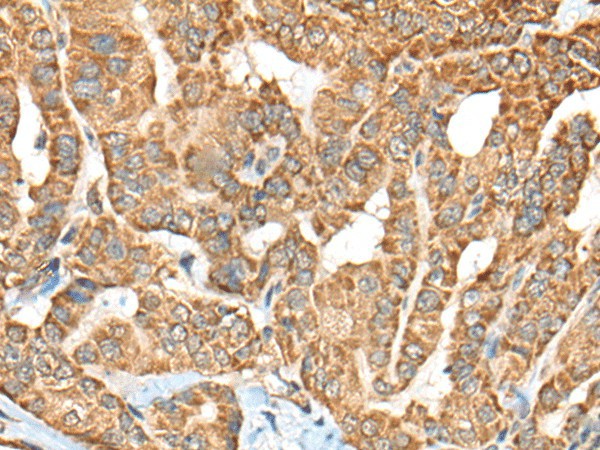
C1R Polyclonal Antibody (E-AB-18567)
Реактивность подтвержденная:
человек
Источник (хозяин):
кролик
Валидировано для:
IHC
Характеристики
Техническое описание
| Каталожный номер | E-AB-18567 |
| Название антигена | Complement Component 1, R Subcomponent (C1r) |
| UNIPROT | P00736 |
| Иммуноген | Гибридный белок, соответствующий человеческому C1R |
| Английские синонимы | C1-r, complement Component 1, Complement component 1 subcomponent r |
Реактивность подтвержденная Нужна другая реактивность? |
человек |
| Источник (хозяин) | кролик |
| Изотип | IgG |
| Клональность | поликлональное |
| Рекомбинантное | нет |
| Готовое к использованию | нет |
| Концентрация | 1.3 мг/мл |
| Конъюгат | нет |
| Валидировано для | IHC Иммуногистохимия |
| Рекомендуемые разведения | IHC 1:50-1:300 |
| Метод очистки | Аффинная очистка с антигеном |
| Состав буфера | PBS с 0.05% NaN3 и 40% глицерин,pH7.4 |
| Условия доставки | термобокс с аккумуляторами холода |
| Условия хранения | Хранить при -20°C - 12 месяцев. Избегать повторяющихся циклов замораживания/оттаивания |
| Срок хранения | 12 месяцев |
| Производитель | Elabscience |
| Ссылка на страницу товара на сайте производителя | https://www.elabscience.com/p-c1r_polyclonal_antibody-e_ab_18567 |
|
Артикул
|
Наименование |
Производитель
|
|---|
|
Артикул
|
Наименование |
Производитель
|
|---|
Акции и предложения
Популярные продукты:
Polyclonal Antibody to Methylmalonyl Coenzyme A Mutase (MUT) (PAD691Hu01)
Источник (хозяин): кролик
Реактивность подтвержденная: человек
Валидировано для: WB
Реактивность подтвержденная: человек
Валидировано для: WB
Anti-Mouse TICAM1 Polyclonal Antibody (PMJ18201)
Источник (хозяин): кролик
Реактивность подтвержденная: мышь
Валидировано для: ELISA, IHC, WB
Реактивность подтвержденная: мышь
Валидировано для: ELISA, IHC, WB
Anti-CHRNA3 Polyclonal Antibody (PHD99701)
Источник (хозяин): кролик
Реактивность подтвержденная: человек, мышь, крыса
Валидировано для: ELISA, IHC, WB
Реактивность подтвержденная: человек, мышь, крыса
Валидировано для: ELISA, IHC, WB
Anti-Human SOCS6 Polyclonal Antibody (PHA21901)
Источник (хозяин): кролик
Реактивность подтвержденная: человек
Валидировано для: ELISA, IHC, WB
Реактивность подтвержденная: человек
Валидировано для: ELISA, IHC, WB
Recombinant Human DROSHA Protein, N-GST (YHJ66601)
Источник (хозяин): E.coli
Организм: человек
Фрагмент: His353-Ser550
Теги: N-GST
Биоактивность: нет
Организм: человек
Фрагмент: His353-Ser550
Теги: N-GST
Биоактивность: нет
Anti-ACACA Antibody (R2D73) (RHG39503)
Источник (хозяин): кролик
Реактивность подтвержденная: человек
Валидировано для: IF, IHC, WB
Реактивность подтвержденная: человек
Валидировано для: IF, IHC, WB

