| UNIPROT | P10721 |
| Иммуноген | KLH-конъюгированный синтетический пептид, соответствующий мышиному c-Kit |
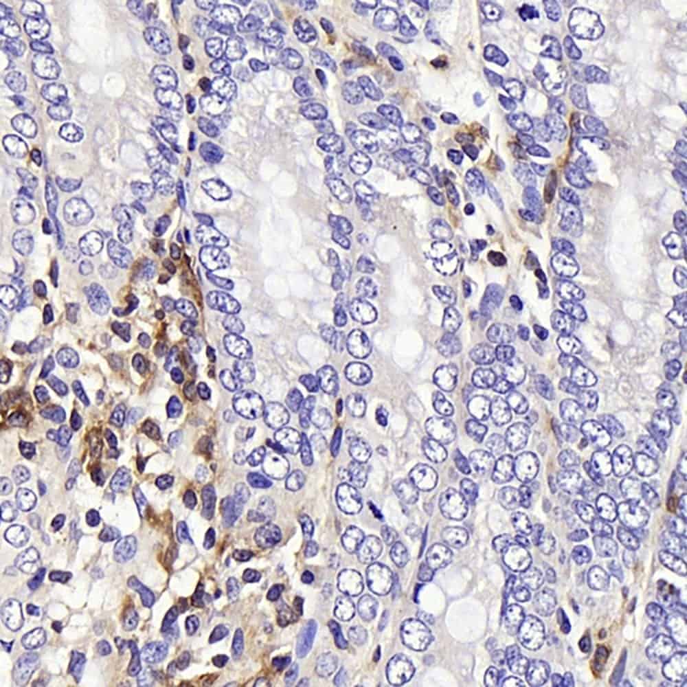
c-Kit Polyclonal Antibody (E-AB-70350)
Реактивность подтвержденная:
человек, мышь, крыса
Источник (хозяин):
кролик
Валидировано для:
IF
IHC
Характеристики
Техническое описание
| Каталожный номер | E-AB-70350 |
| Название антигена | Stem Cell Factor Receptor (SCFR) |
| UNIPROT | P10721 |
| Иммуноген | KLH-конъюгированный синтетический пептид, соответствующий мышиному c-Kit |
| Английские синонимы | CD117, CD 117, CD-117, KIT, C-Kit, PBT, p145 c-Kit, C-Kit Receptor, Tyrosine-Protein Kinase, V-Kit Hardy-Zuckerman 4 Feline Sarcoma Viral Oncogene Homolog, Piebald Trait |
Реактивность подтвержденная Нужна другая реактивность? |
человек, мышь, крыса |
| Источник (хозяин) | кролик |
| Изотип | IgG |
| Клональность | поликлональное |
| Рекомбинантное | нет |
| Готовое к использованию | нет |
| Концентрация | 400 мкг/мл |
| Конъюгат | нет |
| Валидировано для | IF IHC Иммунофлуоресценция; Иммуногистохимия |
| Рекомендуемые разведения | IHC 1:200-1:1000 |
| Метод очистки | Аффинная хроматография |
| Состав буфера | PBS с 0.02% азид натрия, 1% стабилизирующий белок и 50% глицерин, pH7.4 |
| RRID | AB_558651 |
| Условия доставки | термобокс с аккумуляторами холода |
| Условия хранения | Хранить при -20°C - 12 месяцев. Избегать повторяющихся циклов замораживания/оттаивания |
| Срок хранения | 12 месяцев |
| Производитель | Elabscience |
| Ссылка на страницу товара на сайте производителя | https://www.elabscience.com/p-c_kit_polyclonal_antibody-e_ab_70350 |
|
Артикул
|
Наименование |
Производитель
|
|---|
|
Артикул
|
Наименование |
Производитель
|
|---|
|
Артикул
|
Наименование |
Производитель
|
|---|
|
Артикул
|
Наименование |
Производитель
|
|---|
|
Артикул
|
Наименование |
Производитель
|
|---|
|
Артикул
|
Наименование |
Производитель
|
|---|
Акции и предложения
Популярные продукты:
Guinea Pig Uridine Phosphorylase 2 (UPP2) (E05U0072)
Организм: морская свинка
Canine LDL Receptor Related Protein 5 ELISA Kit (E08L1223)
Организм: собака
Rabbit Gastrin I/gastrin-17 ELISA kit (E04G0416)
Организм: кролик
Human Gastrin I/gastrin-17 ELISA kit (E01G0416)
Организм: человек
Диапазон определения: 25-500 пг/мл
Чувствительность: 1 пг/мл
Диапазон определения: 25-500 пг/мл
Чувствительность: 1 пг/мл
Monkey Gastrin ELISA kit (E09G0281)
Организм: обезьяна
Диапазон определения: 250-5000 пг/мл
Чувствительность: 1 пг/мл
Диапазон определения: 250-5000 пг/мл
Чувствительность: 1 пг/мл
Guinea Pig Gastrin ELISA kit (E05G0281)
Организм: морская свинка

