| UNIPROT | Q9BX69 |
| Иммуноген | Синтетический пептид, соответствующий человеческому CARD6 |
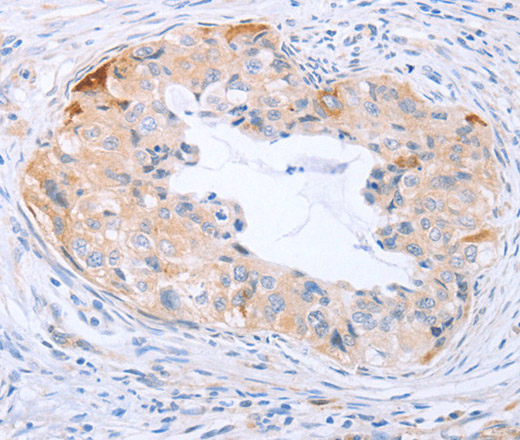
CARD6 Polyclonal Antibody (E-AB-13111)
Реактивность подтвержденная:
человек
Источник (хозяин):
кролик
Валидировано для:
IHC
Характеристики
Техническое описание
| Каталожный номер | E-AB-13111 |
| Название антигена | Caspase Recruitment Domain Family, Member 6 (CARD6) |
| UNIPROT | Q9BX69 |
| Иммуноген | Синтетический пептид, соответствующий человеческому CARD6 |
| Английские синонимы | CINCIN1 |
Реактивность подтвержденная Нужна другая реактивность? |
человек |
| Источник (хозяин) | кролик |
| Изотип | IgG |
| Клональность | поликлональное |
| Рекомбинантное | нет |
| Готовое к использованию | нет |
| Концентрация | 1 мг/мл |
| Конъюгат | нет |
| Валидировано для | IHC Иммуногистохимия |
| Рекомендуемые разведения | IHC 1:50-1:200 |
| Метод очистки | Аффинная хроматография |
| Состав буфера | PBS с 0.05% азид натрия и 50% глицерин, PH7.4 |
| RRID | AB_533252 |
| Условия доставки | термобокс с аккумуляторами холода |
| Условия хранения | Хранить при -20°C - 12 месяцев. Избегать повторяющихся циклов замораживания/оттаивания |
| Срок хранения | 12 месяцев |
| Производитель | Elabscience |
| Ссылка на страницу товара на сайте производителя | https://www.elabscience.com/p-card6_polyclonal_antibody-e_ab_13111 |
|
Артикул
|
Наименование |
Производитель
|
|---|
|
Артикул
|
Наименование |
Производитель
|
|---|
Акции и предложения
Популярные продукты:
PE/Cyanine5 Anti-Mouse H-2 Antibody[M1/42] (FCE3510)
Источник (хозяин): крыса
Реактивность подтвержденная: мышь
Валидировано для: FCM
Реактивность подтвержденная: мышь
Валидировано для: FCM
SEL1L Polyclonal Antibody (E-AB-63621)
Источник (хозяин): кролик
Реактивность подтвержденная: человек, мышь, крыса
Валидировано для: WB
Реактивность подтвержденная: человек, мышь, крыса
Валидировано для: WB
CARD6 Polyclonal Antibody (E-AB-13111)
Источник (хозяин): кролик
Реактивность подтвержденная: человек
Валидировано для: IHC
Реактивность подтвержденная: человек
Валидировано для: IHC
PE Anti-Human/Mouse KLRG-1 Antibody[2F1] (E-AB-F1273UD)
Источник (хозяин): хомяк
Реактивность подтвержденная: человек, мышь
Валидировано для: FCM
Реактивность подтвержденная: человек, мышь
Валидировано для: FCM
PE/Cyanine5 Anti-Human CD326/EpCAM Antibody[9C4] (E-AB-F1163G)
Источник (хозяин): мышь
Реактивность подтвержденная: человек
Валидировано для: FCM
Реактивность подтвержденная: человек
Валидировано для: FCM
KDM2B Antibody (DF12550)
Источник (хозяин): кролик
Реактивность подтвержденная: человек
Валидировано для: WB
Реактивность подтвержденная: человек
Валидировано для: WB

