| UNIPROT | P42575 |
| Иммуноген | Рекомбинантный белок, соответствующий человеческому CASP2 |
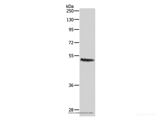
CASP2 Polyclonal Antibody (E-AB-10051)
Реактивность подтвержденная:
человек, мышь, крыса
Источник (хозяин):
кролик
Валидировано для:
WB
Характеристики
Техническое описание
| Каталожный номер | E-AB-10051 |
| Название антигена | Caspase 2 (CASP2) |
| UNIPROT | P42575 |
| Иммуноген | Рекомбинантный белок, соответствующий человеческому CASP2 |
| Английские синонимы | ICH1L, NEDD2, ICH-1L/1S, Cysteinyl Aspartate Specific Proteinases 2, Apoptosis-Related Cysteine Peptidase, Neural Precursor Cell Expressed Developmentally Down-Regulated 2, CASP-2, Caspase-2 |
| Русские синонимы | каспаза-2 |
Реактивность подтвержденная Нужна другая реактивность? |
человек, мышь, крыса |
| Источник (хозяин) | кролик |
| Изотип | IgG |
| Клональность | поликлональное |
| Рекомбинантное | нет |
| Готовое к использованию | нет |
| Концентрация | 0.4 мг/мл |
| Конъюгат | нет |
| Валидировано для | WB Вестерн-блоттинг |
| Рекомендуемые разведения | WB 1:1000-1:5000 |
| Метод очистки | Аффинная хроматография |
| Состав буфера | PBS с 0.05% азид натрия и 50% глицерин, PH7.4 |
| RRID | AB_530190 |
| Условия доставки | термобокс с аккумуляторами холода |
| Условия хранения | Хранить при -20°C - 12 месяцев. Избегать повторяющихся циклов замораживания/оттаивания |
| Срок хранения | 12 месяцев |
| Производитель | Elabscience |
| Ссылка на страницу товара на сайте производителя | https://www.elabscience.com/p-casp2_polyclonal_antibody-e_ab_10051 |
|
Артикул
|
Наименование |
Производитель
|
|---|
|
Артикул
|
Наименование |
Производитель
|
|---|
|
Артикул
|
Наименование |
Производитель
|
|---|
Акции и предложения
Популярные продукты:
Monoclonal Antibody to Complement Component 5 (C5) (MAB969Ra22)
Источник (хозяин): мышь
Реактивность подтвержденная: крыса
Валидировано для: WB
Реактивность подтвержденная: крыса
Валидировано для: WB
Monoclonal Antibody to Complement Component 5 (C5) (MAB969Hu21)
Источник (хозяин): мышь
Реактивность подтвержденная: человек
Валидировано для: WB
Реактивность подтвержденная: человек
Валидировано для: WB
Bovine Cyclosporine A ELISA kit (E11C0832)
Организм: корова
Canine Cyclosporine A ELISA kit (E08C0832)
Организм: собака
Диапазон определения: 25-500 нг/мл
Чувствительность: 1 нг/мл
Диапазон определения: 25-500 нг/мл
Чувствительность: 1 нг/мл

