| UNIPROT | O00585 |
| Иммуноген | Рекомбинантный белок, соответствующий человеческому CCL21 |
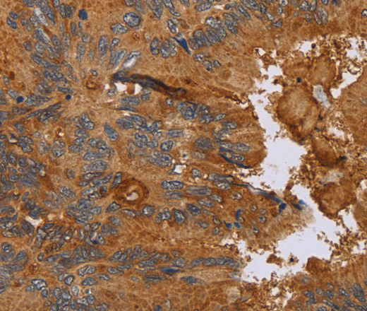
CCL21 Polyclonal Antibody (E-AB-10215)
Реактивность подтвержденная:
человек
Источник (хозяин):
кролик
Валидировано для:
IHC
Характеристики
Техническое описание
| Каталожный номер | E-AB-10215 |
| Название антигена | Secondary Lymphoid Tissue Chemokine (SLC) |
| UNIPROT | O00585 |
| Иммуноген | Рекомбинантный белок, соответствующий человеческому CCL21 |
| Английские синонимы | CCL21, 6Ckine, CKb9, ECL, SCYA21, TCA4, Chemokine(C-C-Motif)Ligand 21, Beta Chemokine Exodus-2, Efficient Chemoattractant For Lymphocytes |
Реактивность подтвержденная Нужна другая реактивность? |
человек |
| Источник (хозяин) | кролик |
| Изотип | IgG |
| Клональность | поликлональное |
| Рекомбинантное | нет |
| Готовое к использованию | нет |
| Концентрация | 0.6 мг/мл |
| Конъюгат | нет |
| Валидировано для | IHC Иммуногистохимия |
| Рекомендуемые разведения | IHC 1:50-1:200 |
| Метод очистки | Аффинная хроматография |
| Состав буфера | PBS с 0.05% азид натрия и 50% глицерин, PH7.4 |
| RRID | AB_530354 |
| Условия доставки | термобокс с аккумуляторами холода |
| Условия хранения | Хранить при -20°C - 12 месяцев. Избегать повторяющихся циклов замораживания/оттаивания |
| Срок хранения | 12 месяцев |
| Производитель | Elabscience |
| Ссылка на страницу товара на сайте производителя | https://www.elabscience.com/p-ccl21_polyclonal_antibody-e_ab_10215 |
|
Артикул
|
Наименование |
Производитель
|
|---|
|
Артикул
|
Наименование |
Производитель
|
|---|
|
Артикул
|
Наименование |
Производитель
|
|---|
|
Артикул
|
Наименование |
Производитель
|
|---|
Акции и предложения
Популярные продукты:
Anti-Plasmodium berghei CSP Antibody (SAb2279) (RXX55205)
Источник (хозяин): человек
Реактивность подтвержденная: простейшие
Валидировано для: ELISA, NEUT
Реактивность подтвержденная: простейшие
Валидировано для: ELISA, NEUT
Anti-Prostate Specific Antigen (PSA) Polyclonal Antibody (FAA151Mu01)
Источник (хозяин): кролик
Реактивность подтвержденная: мышь
Валидировано для: FCM
Реактивность подтвержденная: мышь
Валидировано для: FCM
Anti-Retinol Binding Protein 1, Cellular (RBP1) Polyclonal Antibody (FAA400Hu01)
Источник (хозяин): кролик
Реактивность подтвержденная: человек
Валидировано для: FCM
Реактивность подтвержденная: человек
Валидировано для: FCM
Mouse Succinate receptor 1 ELISA kit (E03S0856)
Организм: мышь

