| UNIPROT | O54990 |
| Иммуноген | KLH-конъюгированный синтетический пептид, соответствующий мышиному CD133 |
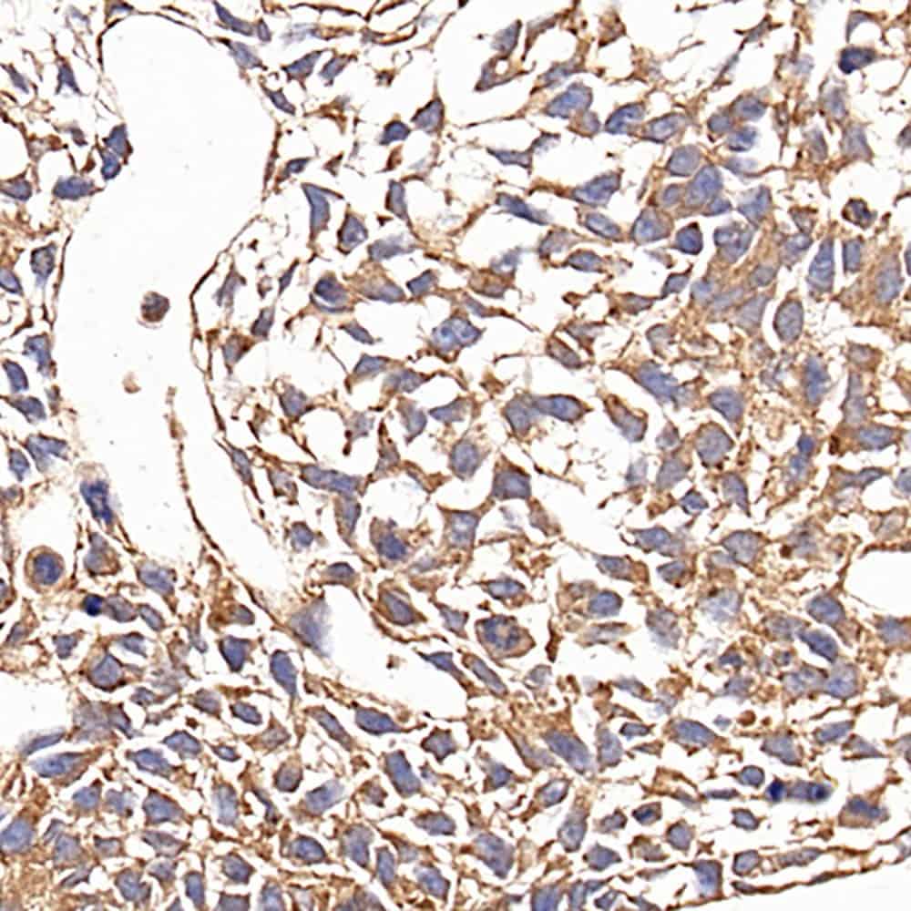
CD133 Monoclonal Antibody (E-AB-70172)
Реактивность подтвержденная:
крыса
Источник (хозяин):
мышь
Валидировано для:
IHC
Характеристики
Техническое описание
| Каталожный номер | E-AB-70172 |
| Название антигена | Prominin 1 (PROM1) |
| UNIPROT | O54990 |
| Иммуноген | KLH-конъюгированный синтетический пептид, соответствующий мышиному CD133 |
| Английские синонимы | CD133, CD 133, CD-133, PROML1, Macular Dystrophy,Retinal 2, Stargardt Disease 4(Autosomal Dominant), Prominin-like protein 1, Antigen AC133 |
| Русские синонимы | Антиген CD133 |
Реактивность подтвержденная Нужна другая реактивность? |
крыса |
| Источник (хозяин) | мышь |
| Изотип | IgG |
| Клональность | моноклональное |
| Клон | 9G9D8 |
| Рекомбинантное | нет |
| Готовое к использованию | нет |
| Концентрация | 2.1 мг/мл |
| Конъюгат | нет |
| Валидировано для | IHC Иммуногистохимия |
| Рекомендуемые разведения | IHC 1:200-1:800 |
| Метод очистки | Аффинная хроматография |
| Состав буфера | PBS с 0.02% азид натрия, 1% стабилизирующий белок и 50% глицерин, pH7.4 |
| RRID | AB_558476 |
| Условия доставки | термобокс с аккумуляторами холода |
| Условия хранения | Хранить при -20°C - 12 месяцев. Избегать повторяющихся циклов замораживания/оттаивания |
| Срок хранения | 12 месяцев |
| Производитель | Elabscience |
| Ссылка на страницу товара на сайте производителя | https://www.elabscience.com/p-cd133_monoclonal_antibody-e_ab_70172 |
|
Артикул
|
Наименование |
Производитель
|
|---|
|
Артикул
|
Наименование |
Производитель
|
|---|
|
Артикул
|
Наименование |
Производитель
|
|---|
|
Артикул
|
Наименование |
Производитель
|
|---|
Акции и предложения
Популярные продукты:
Sheep Mesothelin ELISA kit (E14M0519)
Организм: овца
Goat Cyclin G associated kinase(GAK) ELISA kit (E06C1159)
Организм: коза
Sheep Insulin-Degrading Enzyme (IDE) ELISA Kit (E14I0332)
Организм: овца

