| UNIPROT | Q9NNX6 |
| Иммуноген | Рекомбинантный гибридный белок из человеческого CD209 (NP_066978.1) |
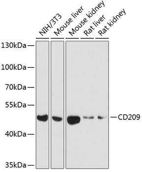
CD209 Polyclonal Antibody (E-AB-63106)
Реактивность подтвержденная:
человек, мышь, крыса
Источник (хозяин):
кролик
Валидировано для:
WB
Характеристики
Техническое описание
| Каталожный номер | E-AB-63106 |
| Название антигена | C-Type Lectin Domain Family 4, Member L (CLEC4L) |
| UNIPROT | Q9NNX6 |
| Иммуноген | Рекомбинантный гибридный белок из человеческого CD209 (NP_066978.1) |
| Английские синонимы | CD209, CD 209, CD-209, DC-SIGN, CDSIGN, Dendritic Cell-Specific Intercellular Adhesion Molecule-3-Grabbing Non-Integrin |
Реактивность подтвержденная Нужна другая реактивность? |
человек, мышь, крыса |
| Источник (хозяин) | кролик |
| Изотип | IgG |
| Клональность | поликлональное |
| Рекомбинантное | нет |
| Готовое к использованию | нет |
| Концентрация | 1мг/мл |
| Конъюгат | нет |
| Валидировано для | WB Вестерн-блоттинг |
| Рекомендуемые разведения | WB 1:500-1:2000 |
| Метод очистки | Аффинная хроматография |
| Состав буфера | PBS с 0.02% азид натрия, 50% глицерин, pH7.3 |
| RRID | AB_524524 |
| Условия доставки | термобокс с аккумуляторами холода |
| Условия хранения | Хранить при -20°C - 12 месяцев. Избегать повторяющихся циклов замораживания/оттаивания |
| Срок хранения | 12 месяцев |
| Производитель | Elabscience |
| Ссылка на страницу товара на сайте производителя | https://www.elabscience.com/p-cd209_polyclonal_antibody-e_ab_63106 |
|
Артикул
|
Наименование |
Производитель
|
|---|
|
Артикул
|
Наименование |
Производитель
|
|---|
|
Артикул
|
Наименование |
Производитель
|
|---|
Акции и предложения
Популярные продукты:
Sheep Mesothelin ELISA kit (E14M0519)
Организм: овца
Sheep Insulin-Degrading Enzyme (IDE) ELISA Kit (E14I0332)
Организм: овца

