| UNIPROT | Q8WTT0 |
| Иммуноген | Синтетический пептид, соответствующий человеческому CLEC4C |
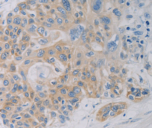
CD303 Polyclonal Antibody (E-AB-12821)
Реактивность подтвержденная:
человек
Источник (хозяин):
кролик
Валидировано для:
IHC
Характеристики
Техническое описание
| Каталожный номер | E-AB-12821 |
| Название антигена | C-Type Lectin Domain Family 4, Member C (CLEC4C) |
| UNIPROT | Q8WTT0 |
| Иммуноген | Синтетический пептид, соответствующий человеческому CLEC4C |
| Английские синонимы | CD303, CD 303, CD-303, CLECSF11,CLECSF7, HECL, DLEC, BDCA2, Blood dendritic cell antigen 2, C-type lectin superfamily member 7, Dendritic lectin |
Реактивность подтвержденная Нужна другая реактивность? |
человек |
| Источник (хозяин) | кролик |
| Изотип | IgG |
| Клональность | поликлональное |
| Рекомбинантное | нет |
| Готовое к использованию | нет |
| Концентрация | 0.4 мг/мл |
| Конъюгат | нет |
| Валидировано для | IHC Иммуногистохимия |
| Рекомендуемые разведения | IHC 1:25-1:100 |
| Метод очистки | Аффинная хроматография |
| Состав буфера | PBS с 0.05% азид натрия и 50% глицерин, PH7.4 |
| RRID | AB_532962 |
| Условия доставки | термобокс с аккумуляторами холода |
| Условия хранения | Хранить при -20°C - 12 месяцев. Избегать повторяющихся циклов замораживания/оттаивания |
| Срок хранения | 12 месяцев |
| Производитель | Elabscience |
| Ссылка на страницу товара на сайте производителя | https://www.elabscience.com/p-cd303_polyclonal_antibody-e_ab_12821 |
|
Артикул
|
Наименование |
Производитель
|
|---|
Акции и предложения
Популярные продукты:
Guinea Pig Centrin 2(CETN2) ELISA kit (E05C1627)
Организм: морская свинка
Guinea Pig Annexin Ⅲ(ANX Ⅲ) ELISA kit (E05A1545)
Организм: морская свинка
Mouse Apolipoprotein A5 ELISA kit (E03A0512)
Организм: мышь
Recombinant Rat XEDAR/EDA2R Protein (Fc Tag) (PKSR030319)
Источник (хозяин): HEK293
Организм: крыса
Фрагмент: Met2-Glu137
Теги: C-hFc
Биоактивность: нет
Организм: крыса
Фрагмент: Met2-Glu137
Теги: C-hFc
Биоактивность: нет

