| UNIPROT | P07359 |
| Иммуноген | Рекомбинантный белок, соответствующий человеческому GP1BA |
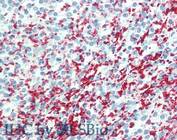
CD42b Polyclonal Antibody (E-AB-15083)
Реактивность подтвержденная:
человек
Источник (хозяин):
кролик
Валидировано для:
IHC
Характеристики
Техническое описание
| Каталожный номер | E-AB-15083 |
| Название антигена | Glycoprotein Ib Alpha Polypeptide, Platelet (GP1Ba) |
| UNIPROT | P07359 |
| Иммуноген | Рекомбинантный белок, соответствующий человеческому GP1BA |
| Английские синонимы | CD42b, CD 42b, CD-42b, CD42-B, CD42b-Alpha, GP1-BA, BSS, GP1B, GPIBA, Glycocalicin |
Реактивность подтвержденная Нужна другая реактивность? |
человек |
| Источник (хозяин) | кролик |
| Изотип | IgG |
| Клональность | поликлональное |
| Рекомбинантное | нет |
| Готовое к использованию | нет |
| Концентрация | 0.3 мг/мл |
| Конъюгат | нет |
| Валидировано для | IHC Иммуногистохимия |
| Рекомендуемые разведения | IHC 1:50-1:200 |
| Метод очистки | Аффинная хроматография |
| Состав буфера | PBS с 0.05% азид натрия и 50% глицерин, PH7.4 |
| RRID | AB_535225 |
| Условия доставки | термобокс с аккумуляторами холода |
| Условия хранения | Хранить при -20°C - 12 месяцев. Избегать повторяющихся циклов замораживания/оттаивания |
| Срок хранения | 12 месяцев |
| Производитель | Elabscience |
| Ссылка на страницу товара на сайте производителя | https://www.elabscience.com/p-cd42b_polyclonal_antibody-e_ab_15083 |
|
Артикул
|
Наименование |
Производитель
|
|---|
|
Артикул
|
Наименование |
Производитель
|
|---|
|
Артикул
|
Наименование |
Производитель
|
|---|
Акции и предложения
Популярные продукты:
Rabbit Retinoid isomerohydrolase(RPE65) ELISA kit (E04R0420)
Организм: кролик
Goat Selenoprotein P1, ELISA kit (E06S0086)
Организм: коза
Chicken Glucocorticoid receptor Alpha ELISA kit (E12G0360)
Организм: курица
Anti-CBR1 Polyclonal Antibody (PHD15601)
Источник (хозяин): кролик
Реактивность подтвержденная: человек, мышь, крыса
Валидировано для: ELISA, IHC, WB
Реактивность подтвержденная: человек, мышь, крыса
Валидировано для: ELISA, IHC, WB
Anti-Human PCBP1 Polyclonal Antibody (PHH07401)
Источник (хозяин): кролик
Реактивность подтвержденная: человек
Валидировано для: ELISA, IHC, WB
Реактивность подтвержденная: человек
Валидировано для: ELISA, IHC, WB

