| UNIPROT | Q12834 |
| Иммуноген | Рекомбинантный гибридный белок из человеческого CDC20 (NP_001246.2) |
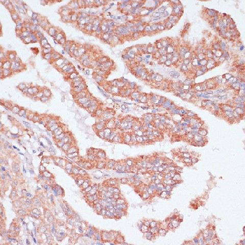
CDC20 Polyclonal Antibody (E-AB-66525)
Реактивность подтвержденная:
человек, мышь, крыса
Источник (хозяин):
кролик
Валидировано для:
IHC
WB
Характеристики
Техническое описание
| Каталожный номер | E-AB-66525 |
| Название антигена | Cell Division Cycle Protein 20 (CDC20) |
| UNIPROT | Q12834 |
| Иммуноген | Рекомбинантный гибридный белок из человеческого CDC20 (NP_001246.2) |
| Английские синонимы | CDC20A, bA276H19.3, p55CDC |
Реактивность подтвержденная Нужна другая реактивность? |
человек, мышь, крыса |
| Источник (хозяин) | кролик |
| Изотип | IgG |
| Клональность | поликлональное |
| Рекомбинантное | нет |
| Готовое к использованию | нет |
| Концентрация | 1мг/мл |
| Конъюгат | нет |
| Валидировано для | IHC WB Иммуногистохимия; Вестерн-блоттинг |
| Рекомендуемые разведения | WB 1:500-1:2000; IHC 1:50-1:100 |
| Метод очистки | Аффинная хроматография |
| Состав буфера | PBS с 0.02% азид натрия, 50% глицерин, pH7.3 |
| Условия доставки | термобокс с аккумуляторами холода |
| Условия хранения | Хранить при -20°C - 12 месяцев. Избегать повторяющихся циклов замораживания/оттаивания |
| Срок хранения | 12 месяцев |
| Производитель | Elabscience |
| Ссылка на страницу товара на сайте производителя | https://www.elabscience.com/p-cdc20_polyclonal_antibody-e_ab_66525 |
|
Артикул
|
Наименование |
Производитель
|
|---|
|
Артикул
|
Наименование |
Производитель
|
|---|
Акции и предложения
Популярные продукты:
CD22 Mouse Monoclonal Antibody (BF8265)
Источник (хозяин): мышь
Реактивность подтвержденная: человек
Валидировано для: ICC, IF, WB
Реактивность подтвержденная: человек
Валидировано для: ICC, IF, WB
Bovine Cyclin J(CCNJ) ELISA kit (E11C1164)
Организм: корова
Chicken Adenylate cyclase type 8(ADCY8) ELISA kit (E12A1261)
Организм: курица
Anti-CDC20 Polyclonal Antibody (PHG30301)
Источник (хозяин): кролик
Реактивность подтвержденная: человек, мышь, крыса
Валидировано для: ELISA, IHC, WB
Реактивность подтвержденная: человек, мышь, крыса
Валидировано для: ELISA, IHC, WB

