| UNIPROT | Q9HCU4 |
| Иммуноген | Синтетический пептид, соответствующий человеческому CELSR2 |
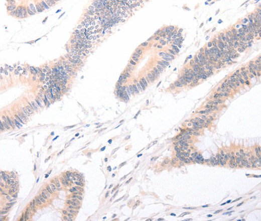
CELSR2 Polyclonal Antibody (E-AB-16124)
Реактивность подтвержденная:
человек, мышь, крыса
Источник (хозяин):
кролик
Валидировано для:
IHC
Характеристики
Техническое описание
| Каталожный номер | E-AB-16124 |
| Название антигена | Cadherin EGF LAG Seven Pass G-Type Receptor 2 (CELSR2) |
| UNIPROT | Q9HCU4 |
| Иммуноген | Синтетический пептид, соответствующий человеческому CELSR2 |
| Английские синонимы | CDHF10, EGFL2, Flamingo 1, MEGF3, Cadherin family member 10, Epidermal growth factor-like protein 2, Multiple epidermal growth factor-like domains protein 3 |
Реактивность подтвержденная Нужна другая реактивность? |
человек, мышь, крыса |
| Источник (хозяин) | кролик |
| Изотип | IgG |
| Клональность | поликлональное |
| Рекомбинантное | нет |
| Готовое к использованию | нет |
| Концентрация | 0.4 мг/мл |
| Конъюгат | нет |
| Валидировано для | IHC Иммуногистохимия |
| Рекомендуемые разведения | IHC 1:25-1:100 |
| Метод очистки | Аффинная хроматография |
| Состав буфера | PBS с 0.05% азид натрия и 50% глицерин, PH7.4 |
| RRID | AB_536266 |
| Условия доставки | термобокс с аккумуляторами холода |
| Условия хранения | Хранить при -20°C - 12 месяцев. Избегать повторяющихся циклов замораживания/оттаивания |
| Срок хранения | 12 месяцев |
| Производитель | Elabscience |
| Ссылка на страницу товара на сайте производителя | https://www.elabscience.com/p-celsr2_polyclonal_antibody-e_ab_16124 |
|
Артикул
|
Наименование |
Производитель
|
|---|
|
Артикул
|
Наименование |
Производитель
|
|---|
|
Артикул
|
Наименование |
Производитель
|
|---|
|
Артикул
|
Наименование |
Производитель
|
|---|
Акции и предложения
Популярные продукты:
Rabbit Tyrosine protein kinase Fyn(FYN) ELISA kit (E04T0613)
Организм: кролик
Canine Transmembrane protein 18(TMEM18) ELISA kit (E08T0706)
Организм: собака
Monkey 14-3-3 protein beta/alpha(YWHAB) ELISA kit (E09Y0004)
Организм: обезьяна
Rat Carbohyde sulfotransferase 5(CHST5) ELISA kit (E02C1712)
Организм: крыса
Rat Carbohyde sulfotransferase 3(CHST3) ELISA kit (E02C1710)
Организм: крыса

