| UNIPROT | Q8WUJ3 |
| Иммуноген | Синтетический пептид, соответствующий человеческому CEMIP |
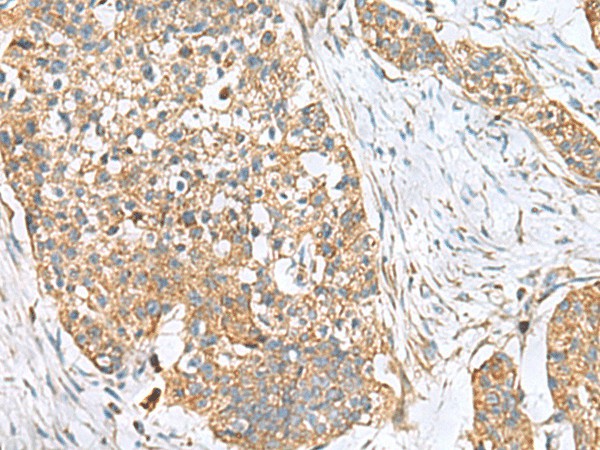
CEMIP Polyclonal Antibody (E-AB-18187)
Реактивность подтвержденная:
человек, мышь
Источник (хозяин):
кролик
Валидировано для:
IHC
Характеристики
Техническое описание
| Каталожный номер | E-AB-18187 |
| Название антигена | Transmembrane Protein 2 Like Protein (TMEM2L) |
| UNIPROT | Q8WUJ3 |
| Иммуноген | Синтетический пептид, соответствующий человеческому CEMIP |
| Английские синонимы | CEMIP, CCSP1, KIAA1199, Cell Migration Inducing Protein, Hyaluronan Binding |
Реактивность подтвержденная Нужна другая реактивность? |
человек, мышь |
| Источник (хозяин) | кролик |
| Изотип | IgG |
| Клональность | поликлональное |
| Рекомбинантное | нет |
| Готовое к использованию | нет |
| Концентрация | 1.68 мг/мл |
| Конъюгат | нет |
| Валидировано для | IHC Иммуногистохимия |
| Рекомендуемые разведения | IHC 1:100-1:300 |
| Метод очистки | Аффинная очистка с антигеном |
| Состав буфера | PBS с 0.05% NaN3 и 40% глицерин,pH7.4 |
| Условия доставки | термобокс с аккумуляторами холода |
| Условия хранения | Хранить при -20°C - 12 месяцев. Избегать повторяющихся циклов замораживания/оттаивания |
| Срок хранения | 12 месяцев |
| Производитель | Elabscience |
| Ссылка на страницу товара на сайте производителя | https://www.elabscience.com/p-cemip_polyclonal_antibody-e_ab_18187 |
|
Артикул
|
Наименование |
Производитель
|
|---|
|
Артикул
|
Наименование |
Производитель
|
|---|
|
Артикул
|
Наименование |
Производитель
|
|---|
Акции и предложения
Популярные продукты:
Rabbit CTP synthase 2(CTPS2) ELISA kit (E04C2157)
Организм: кролик
Monkey Interleukin 32 ELISA Kit (E09I0386)
Организм: обезьяна
Anti-Human CTPS2 Polyclonal Antibody (PHK88101)
Источник (хозяин): кролик
Реактивность подтвержденная: человек
Валидировано для: ELISA, IHC, WB
Реактивность подтвержденная: человек
Валидировано для: ELISA, IHC, WB
Anti-Human TLR7 Antibody (SAA1718) (RHJ68601)
Источник (хозяин): мышь
Реактивность подтвержденная: человек
Валидировано для: ELISA
Реактивность подтвержденная: человек
Валидировано для: ELISA
Recombinant BVDV NS3/p80 Protein, N-His (YVV14703)
Источник (хозяин): E.coli
Организм: вирусы
Фрагмент: Glu1887-Thr2031
Теги: N-His
Биоактивность: нет
Организм: вирусы
Фрагмент: Glu1887-Thr2031
Теги: N-His
Биоактивность: нет

