| UNIPROT | Q9H2X0 |
| Иммуноген | Гибридный белок, соответствующий человеческому CHRD |
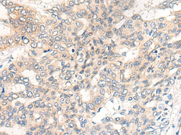
CHRD Polyclonal Antibody (E-AB-18617)
Реактивность подтвержденная:
человек, мышь, крыса
Источник (хозяин):
кролик
Валидировано для:
IHC
Характеристики
Техническое описание
| Каталожный номер | E-AB-18617 |
| Название антигена | Chordin (CHRD) |
| UNIPROT | Q9H2X0 |
| Иммуноген | Гибридный белок, соответствующий человеческому CHRD |
Реактивность подтвержденная Нужна другая реактивность? |
человек, мышь, крыса |
| Источник (хозяин) | кролик |
| Изотип | IgG |
| Клональность | поликлональное |
| Рекомбинантное | нет |
| Готовое к использованию | нет |
| Концентрация | 0.8 мг/мл |
| Конъюгат | нет |
| Валидировано для | IHC Иммуногистохимия |
| Рекомендуемые разведения | IHC 1:30-1:150 |
| Метод очистки | Аффинная очистка с антигеном |
| Состав буфера | PBS с 0.05% NaN3 и 40% глицерин,pH7.4 |
| Условия доставки | термобокс с аккумуляторами холода |
| Условия хранения | Хранить при -20°C - 12 месяцев. Избегать повторяющихся циклов замораживания/оттаивания |
| Срок хранения | 12 месяцев |
| Производитель | Elabscience |
| Ссылка на страницу товара на сайте производителя | https://www.elabscience.com/p-chrd_polyclonal_antibody-e_ab_18617 |
|
Артикул
|
Наименование |
Производитель
|
|---|
|
Артикул
|
Наименование |
Производитель
|
|---|
|
Артикул
|
Наименование |
Производитель
|
|---|
|
Артикул
|
Наименование |
Производитель
|
|---|
Акции и предложения
Популярные продукты:
Goat Cyclin K(CCNK) ELISA kit (E06C1166)
Организм: коза
ELISA Kit for Anti-Somatostatin Antibody (Anti-SST) (RA592A-Po)
Организм: свинья
Диапазон определения: 3.12-200 нг/мл
Чувствительность: 1.24 нг/мл
Диапазон определения: 3.12-200 нг/мл
Чувствительность: 1.24 нг/мл
Recombinant Somatostatin (SST) (RPA592Mu01)
Источник (хозяин): E.coli
Организм: мышь
Фрагмент: Ser27-Cys116
Теги: N-концевой His-Tag
Биоактивность: нет
Организм: мышь
Фрагмент: Ser27-Cys116
Теги: N-концевой His-Tag
Биоактивность: нет
ELISA Kit DIY Materials for Proteolipid Protein 1, Myelin (PLP1) (KSA417Hu01)
Организм: человек
Диапазон определения: 0.156-10 нг/мл
Чувствительность: 0.059 нг/мл
Диапазон определения: 0.156-10 нг/мл
Чувствительность: 0.059 нг/мл
ELISA Kit DIY Materials for Microfibrillar Associated Protein 4 (MFAP4) (KSF589Hu01)
Организм: человек
Диапазон определения: 0.312-20 нг/мл
Чувствительность: 0.121 нг/мл
Диапазон определения: 0.312-20 нг/мл
Чувствительность: 0.121 нг/мл

