| UNIPROT | Q9DCV7 |
| Иммуноген | KLH-конъюгированный синтетический пептид, соответствующий мышиному Cytokeratin 7 |
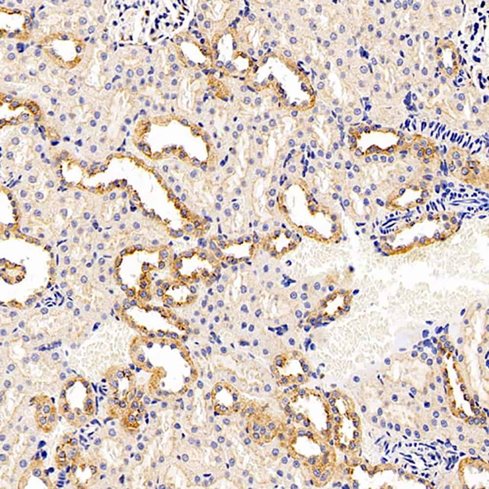
CK-7 Polyclonal Antibody (E-AB-70092)
Реактивность подтвержденная:
мышь, крыса
Источник (хозяин):
кролик
Валидировано для:
IHC
Характеристики
Техническое описание
| Каталожный номер | E-AB-70092 |
| Название антигена | Keratin 7 (KRT7) |
| UNIPROT | Q9DCV7 |
| Иммуноген | KLH-конъюгированный синтетический пептид, соответствующий мышиному Cytokeratin 7 |
| Английские синонимы | CK7, K2C7, K7, SCL, Cytokeratin 7, Sarcolectin, Keratin,55K Type II Cytoskeletal, Keratin, type II cytoskeletal 7 |
Реактивность подтвержденная Нужна другая реактивность? |
мышь, крыса |
| Источник (хозяин) | кролик |
| Изотип | IgG |
| Клональность | поликлональное |
| Рекомбинантное | нет |
| Готовое к использованию | нет |
| Концентрация | 420 мкг/мл |
| Конъюгат | нет |
| Валидировано для | IHC Иммуногистохимия |
| Рекомендуемые разведения | IHC 1:200-1:500 |
| Метод очистки | Аффинная хроматография |
| Состав буфера | PBS с 0.02% азид натрия, 1% стабилизирующий белок и 50% глицерин, pH7.4 |
| RRID | AB_558396 |
| Условия доставки | термобокс с аккумуляторами холода |
| Условия хранения | Хранить при -20°C - 12 месяцев. Избегать повторяющихся циклов замораживания/оттаивания |
| Срок хранения | 12 месяцев |
| Производитель | Elabscience |
| Ссылка на страницу товара на сайте производителя | https://www.elabscience.com/p-ck_7_polyclonal_antibody-e_ab_70092 |
|
Артикул
|
Наименование |
Производитель
|
|---|
|
Артикул
|
Наименование |
Производитель
|
|---|
|
Артикул
|
Наименование |
Производитель
|
|---|
|
Артикул
|
Наименование |
Производитель
|
|---|
Акции и предложения
Популярные продукты:
Multiplex Assay Kit for Netrin 1 (Ntn1) (LMB827Ra)
Организм: крыса
Диапазон определения: 0.98-1000 пг/мл
Чувствительность: 0.327 пг/мл
Диапазон определения: 0.98-1000 пг/мл
Чувствительность: 0.327 пг/мл
Sheep MAX dimerization protein 1 ELISA kit (E14M0356)
Организм: овца
Rabbit MAX dimerization protein 1 ELISA kit (E04M0356)
Организм: кролик
Mouse MAX dimerization protein 1 ELISA kit (E03M0356)
Организм: мышь
Human MAX dimerization protein 1 ELISA kit (E01M0356)
Организм: человек
Диапазон определения: 100-2500 пг/мл
Чувствительность: 1 пг/мл
Диапазон определения: 100-2500 пг/мл
Чувствительность: 1 пг/мл

