| UNIPROT | P56748 |
| Иммуноген | Синтетический пептид, соответствующий человеческому CLDN8 |
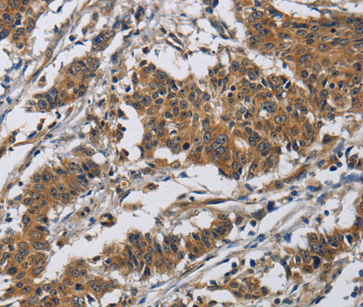
Claudin 8 Polyclonal Antibody (E-AB-12457)
Реактивность подтвержденная:
человек
Источник (хозяин):
кролик
Валидировано для:
IHC
Характеристики
Техническое описание
| Каталожный номер | E-AB-12457 |
| Название антигена | Claudin 8 (CLDN8) |
| UNIPROT | P56748 |
| Иммуноген | Синтетический пептид, соответствующий человеческому CLDN8 |
Реактивность подтвержденная Нужна другая реактивность? |
человек |
| Источник (хозяин) | кролик |
| Изотип | IgG |
| Клональность | поликлональное |
| Рекомбинантное | нет |
| Готовое к использованию | нет |
| Концентрация | 0.6 мг/мл |
| Конъюгат | нет |
| Валидировано для | IHC Иммуногистохимия |
| Рекомендуемые разведения | IHC 1:50-1:200 |
| Метод очистки | Аффинная хроматография |
| Состав буфера | PBS с 0.05% азид натрия и 50% глицерин, PH7.4 |
| RRID | AB_532598 |
| Условия доставки | термобокс с аккумуляторами холода |
| Условия хранения | Хранить при -20°C - 12 месяцев. Избегать повторяющихся циклов замораживания/оттаивания |
| Срок хранения | 12 месяцев |
| Производитель | Elabscience |
| Ссылка на страницу товара на сайте производителя | https://www.elabscience.com/p-claudin_8_polyclonal_antibody-e_ab_12457 |
|
Артикул
|
Наименование |
Производитель
|
|---|
|
Артикул
|
Наименование |
Производитель
|
|---|
Акции и предложения
Популярные продукты:
Multiplex Assay Kit for Coagulation Factor II (F2) (LMA820Mu)
Организм: мышь
Диапазон определения: 0.1-100 нг/мл
Чувствительность: 0.033 нг/мл
Диапазон определения: 0.1-100 нг/мл
Чувствительность: 0.033 нг/мл
Bovine 14 3 3 protein zeta/delta(YWHAZ) ELISA kit (E11P0216)
Организм: корова

