| UNIPROT | Q9BXN2 |
| Иммуноген | Синтетический пептид, соответствующий человеческому CLEC7A (NP_922938.1) |
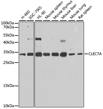
CLEC7A Polyclonal Antibody (E-AB-63167)
Реактивность подтвержденная:
человек, мышь, крыса
Источник (хозяин):
кролик
Валидировано для:
WB
Характеристики
Техническое описание
| Каталожный номер | E-AB-63167 |
| Название антигена | C-Type Lectin Domain Family 7, Member A (CLEC7A) |
| UNIPROT | Q9BXN2 |
| Иммуноген | Синтетический пептид, соответствующий человеческому CLEC7A (NP_922938.1) |
| Английские синонимы | BGR, CLECSF1, CANDF4, CLECSF12, DECTIN1, Beta-glucan receptor, C-type lectin superfamily member 12, Dendritic cell-associated C-type lectin 1, CD369 |
Реактивность подтвержденная Нужна другая реактивность? |
человек, мышь, крыса |
| Источник (хозяин) | кролик |
| Изотип | IgG |
| Клональность | поликлональное |
| Рекомбинантное | нет |
| Готовое к использованию | нет |
| Концентрация | 1мг/мл |
| Конъюгат | нет |
| Валидировано для | WB Вестерн-блоттинг |
| Рекомендуемые разведения | WB 1:500-1:2000 |
| Метод очистки | Аффинная хроматография |
| Состав буфера | PBS с 0.02% азид натрия, 50% глицерин, pH7.3 |
| RRID | AB_528280 |
| Условия доставки | термобокс с аккумуляторами холода |
| Условия хранения | Хранить при -20°C - 12 месяцев. Избегать повторяющихся циклов замораживания/оттаивания |
| Срок хранения | 12 месяцев |
| Производитель | Elabscience |
| Ссылка на страницу товара на сайте производителя | https://www.elabscience.com/p-clec7a_polyclonal_antibody-e_ab_63167 |
|
Артикул
|
Наименование |
Производитель
|
|---|
|
Артикул
|
Наименование |
Производитель
|
|---|
Акции и предложения
Популярные продукты:
ELISA Kit DIY Materials for Thioredoxin (Trx) (KSA702Hu01)
Организм: человек
Диапазон определения: 3.12-200 нг/мл
Чувствительность: 1.22 нг/мл
Диапазон определения: 3.12-200 нг/мл
Чувствительность: 1.22 нг/мл
Guinea Pig 60S ribosomal protein L9(RPL9) ELISA kit (E05R0470)
Организм: морская свинка
Guinea Pig 40S ribosomal protein S8(RPS8) ELISA kit (E05R0151)
Организм: морская свинка
Sheep Sirtuin 3 ELISA kit (E14S0466)
Организм: овца
Monkey A kinase anchor protein 14(AKAP14) ELISA kit (E09A1354)
Организм: обезьяна

