| UNIPROT | P12110 |
| Иммуноген | Рекомбинантный гибридный белок из человеческого COL6A2 |
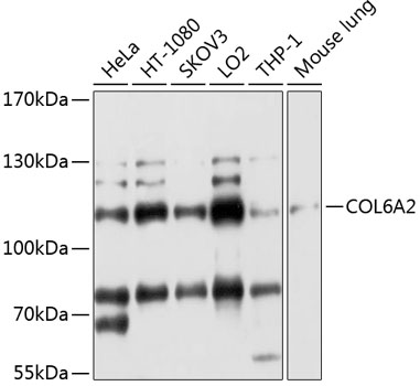
COL6A2 Polyclonal Antibody (E-AB-92552)
Реактивность подтвержденная:
человек, мышь
Источник (хозяин):
кролик
Валидировано для:
WB
Характеристики
Техническое описание
| Каталожный номер | E-AB-92552 |
| Название антигена | Collagen Type VI Alpha 2 (COL6a2) |
| UNIPROT | P12110 |
| Иммуноген | Рекомбинантный гибридный белок из человеческого COL6A2 |
| Английские синонимы | COL6-A2, Collagen Alpha-2(VI)chain |
| Русские синонимы | Коллаген 6 альфа-2 |
Реактивность подтвержденная Нужна другая реактивность? |
человек, мышь |
| Источник (хозяин) | кролик |
| Изотип | IgG |
| Клональность | поликлональное |
| Рекомбинантное | нет |
| Готовое к использованию | нет |
| Концентрация | 1мг/мл |
| Конъюгат | нет |
| Валидировано для | WB Вестерн-блоттинг |
| Рекомендуемые разведения | WB 1:200-1:2000 |
| Метод очистки | Аффинная хроматография |
| Состав буфера | PBS с 0.02% азид натрия,50% глицерин,pH7.3 |
| Условия доставки | термобокс с аккумуляторами холода |
| Условия хранения | Хранить при -20°C - 12 месяцев. Избегать повторяющихся циклов замораживания/оттаивания |
| Срок хранения | 12 месяцев |
| Производитель | Elabscience |
| Ссылка на страницу товара на сайте производителя | https://www.elabscience.com/p-col6a2_polyclonal_antibody-e_ab_92552 |
|
Артикул
|
Наименование |
Производитель
|
|---|
|
Артикул
|
Наименование |
Производитель
|
|---|
Акции и предложения
Популярные продукты:
Monkey Cochlin(COCH) ELISA kit (E09C1879)
Организм: обезьяна
Goat Melanocortin receptor 5(MC5R) ELISA kit (E06M0387)
Организм: коза
Monkey Glutamate receptor 2(GRIA2) ELISA kit (E09G0391)
Организм: обезьяна
Rat Serpin B10(SERPINB10) ELISA kit (E02S0360)
Организм: крыса

