| UNIPROT | P48052 |
| Иммуноген | Рекомбинантный белок, соответствующий человеческому CPA2 |
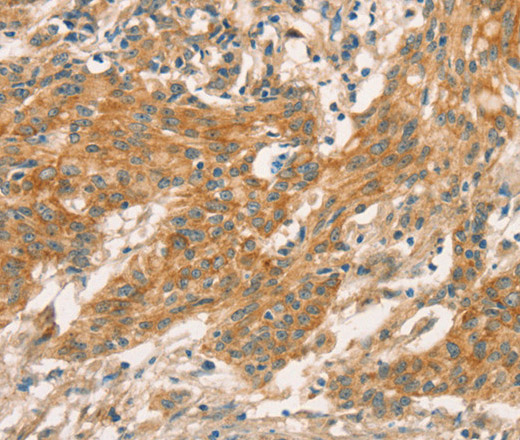
CPA2 Polyclonal Antibody (E-AB-14888)
Реактивность подтвержденная:
человек, мышь, крыса
Источник (хозяин):
кролик
Валидировано для:
IHC
Характеристики
Техническое описание
| Каталожный номер | E-AB-14888 |
| Название антигена | Carboxypeptidase A2, Pancreatic (CPA2) |
| UNIPROT | P48052 |
| Иммуноген | Рекомбинантный белок, соответствующий человеческому CPA2 |
Реактивность подтвержденная Нужна другая реактивность? |
человек, мышь, крыса |
| Источник (хозяин) | кролик |
| Изотип | IgG |
| Клональность | поликлональное |
| Рекомбинантное | нет |
| Готовое к использованию | нет |
| Концентрация | 0.5 мг/мл |
| Конъюгат | нет |
| Валидировано для | IHC Иммуногистохимия |
| Рекомендуемые разведения | IHC 1:50-1:200 |
| Метод очистки | Аффинная хроматография |
| Состав буфера | PBS с 0.05% азид натрия и 50% глицерин, PH7.4 |
| RRID | AB_535029 |
| Условия доставки | термобокс с аккумуляторами холода |
| Условия хранения | Хранить при -20°C - 12 месяцев. Избегать повторяющихся циклов замораживания/оттаивания |
| Срок хранения | 12 месяцев |
| Производитель | Elabscience |
| Ссылка на страницу товара на сайте производителя | https://www.elabscience.com/p-cpa2_polyclonal_antibody-e_ab_14888 |
|
Артикул
|
Наименование |
Производитель
|
|---|
|
Артикул
|
Наименование |
Производитель
|
|---|
Акции и предложения
Популярные продукты:
Porcine Zinc finger protein neuro d4(DPF1) ELISA kit (E07Z0006)
Организм: свинья
Monkey Platelet Derived Growth Factor BB ELISA kit (E09P0043)
Организм: обезьяна
Canine Neurotrophin 3 ELISA kit (E08N0018)
Организм: собака
Диапазон определения: 250-5000 пг/мл
Чувствительность: 1 пг/мл
Диапазон определения: 250-5000 пг/мл
Чувствительность: 1 пг/мл
Recombinant Human Noggin/NOG Protein (aa 28-232, Fc Tag) (PKSH033577)
Источник (хозяин): HEK293
Организм: человек
Фрагмент: Gln28-Cys232
Теги: C-Fc
Биоактивность: нет
Организм: человек
Фрагмент: Gln28-Cys232
Теги: C-Fc
Биоактивность: нет
Recombinant Human SGCG Protein, N-His (YHG48801)
Источник (хозяин): E.coli
Организм: человек
Фрагмент: Met68-Leu291
Теги: N-His
Биоактивность: нет
Организм: человек
Фрагмент: Met68-Leu291
Теги: N-His
Биоактивность: нет

