| UNIPROT | Q13619 |
| Иммуноген | Синтетический пептид, соответствующий человеческому CUL4A |
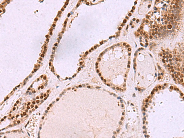
CUL4A Polyclonal Antibody (E-AB-19279)
Реактивность подтвержденная:
человек, мышь
Источник (хозяин):
кролик
Валидировано для:
IHC
WB
Характеристики
Техническое описание
| Каталожный номер | E-AB-19279 |
| Название антигена | Cullin 4A (CUL4A) |
| UNIPROT | Q13619 |
| Иммуноген | Синтетический пептид, соответствующий человеческому CUL4A |
Реактивность подтвержденная Нужна другая реактивность? |
человек, мышь |
| Источник (хозяин) | кролик |
| Изотип | IgG |
| Клональность | поликлональное |
| Рекомбинантное | нет |
| Готовое к использованию | нет |
| Концентрация | 1.62 мг/мл |
| Конъюгат | нет |
| Валидировано для | IHC WB Иммуногистохимия; Вестерн-блоттинг |
| Рекомендуемые разведения | WB 1:500-1:2000; IHC 1:50-1:300 |
| Метод очистки | Аффинная очистка с антигеном |
| Состав буфера | PBS с 0.05% NaN3 и 40% глицерин,pH7.4 |
| Условия доставки | термобокс с аккумуляторами холода |
| Условия хранения | Хранить при -20°C - 12 месяцев. Избегать повторяющихся циклов замораживания/оттаивания |
| Срок хранения | 12 месяцев |
| Производитель | Elabscience |
| Ссылка на страницу товара на сайте производителя | https://www.elabscience.com/p-cul4a_polyclonal_antibody-e_ab_19279 |
|
Артикул
|
Наименование |
Производитель
|
|---|
|
Артикул
|
Наименование |
Производитель
|
|---|
Акции и предложения
Популярные продукты:
Guinea Pig Matrilysin ELISA kit (E05M0234)
Организм: морская свинка
Monkey Copine 5(CPNE5) ELISA kit (E09C2014)
Организм: обезьяна
Monkey Cullin 4A(CUL4A) ELISA kit (E09C2184)
Организм: обезьяна
Chicken Interleukin-17B receptor ELISA kit (E12I0822)
Организм: курица
Porcine Interleukin-17B receptor ELISA kit (E07I0822)
Организм: свинья

