| UNIPROT | P15538 |
| Иммуноген | Рекомбинантный белок, соответствующий человеческому CYP11B1 |
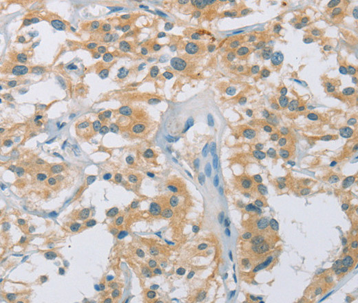
CYP11B1 Polyclonal Antibody (E-AB-14911)
Реактивность подтвержденная:
человек
Источник (хозяин):
кролик
Валидировано для:
IHC
Характеристики
Техническое описание
| Каталожный номер | E-AB-14911 |
| Название антигена | Cytochrome P450 11B1 (CYP11B1) |
| UNIPROT | P15538 |
| Иммуноген | Рекомбинантный белок, соответствующий человеческому CYP11B1 |
| Английские синонимы | CPN1, CYP11B, FHI, CYPXIB1, S11BH, 11-Beta-Hydroxylase, Cytochrome P450 Family 11 Subfamily B Polypeptide 1, Steroid 11-beta-hydroxylase, Cytochrome P-450c11 |
Реактивность подтвержденная Нужна другая реактивность? |
человек |
| Источник (хозяин) | кролик |
| Изотип | IgG |
| Клональность | поликлональное |
| Рекомбинантное | нет |
| Готовое к использованию | нет |
| Концентрация | 0.7 мг/мл |
| Конъюгат | нет |
| Валидировано для | IHC Иммуногистохимия |
| Рекомендуемые разведения | IHC 1:50-1:200 |
| Метод очистки | Аффинная хроматография |
| Состав буфера | PBS с 0.05% азид натрия и 50% глицерин, PH7.4 |
| RRID | AB_535052 |
| Условия доставки | термобокс с аккумуляторами холода |
| Условия хранения | Хранить при -20°C - 12 месяцев. Избегать повторяющихся циклов замораживания/оттаивания |
| Срок хранения | 12 месяцев |
| Производитель | Elabscience |
| Ссылка на страницу товара на сайте производителя | https://www.elabscience.com/p-cyp11b1_polyclonal_antibody-e_ab_14911 |
|
Артикул
|
Наименование |
Производитель
|
|---|
|
Артикул
|
Наименование |
Производитель
|
|---|
|
Артикул
|
Наименование |
Производитель
|
|---|
|
Артикул
|
Наименование |
Производитель
|
|---|
Акции и предложения
Популярные продукты:
InVivo MAb Anti-SFTSV Gc/Glycoprotein C Antibody (FS0302) (VVV33503)
Источник (хозяин): человек
Реактивность подтвержденная: вирусы
Валидировано для: ELISA, IF, NEUT
Реактивность подтвержденная: вирусы
Валидировано для: ELISA, IF, NEUT
Anti-HGD Polyclonal Antibody (PHJ36001)
Источник (хозяин): кролик
Реактивность подтвержденная: человек, мышь, крыса
Валидировано для: ELISA, IHC, WB
Реактивность подтвержденная: человек, мышь, крыса
Валидировано для: ELISA, IHC, WB
Recombinant Human SPATA7 Protein, N-GST & C-His (YHK90101)
Источник (хозяин): E.coli
Организм: человек
Фрагмент: Arg356-Gly420
Теги: N-GST & C-His
Биоактивность: нет
Организм: человек
Фрагмент: Arg356-Gly420
Теги: N-GST & C-His
Биоактивность: нет
Somatostatin Monoclonal Antibody (ELAB6653-M)
Источник (хозяин): мышь
Реактивность подтвержденная: человек
Валидировано для: IHC
Реактивность подтвержденная: человек
Валидировано для: IHC
p21 Polyclonal Antibody (E-AB-66357)
Источник (хозяин): кролик
Реактивность подтвержденная: человек, мышь, крыса
Валидировано для: IF, WB
Реактивность подтвержденная: человек, мышь, крыса
Валидировано для: IF, WB

