Ваш браузер устарел и не обеспечивает полноценную и безопасную работу с сайтом. Пожалуйста обновите браузер чтобы улучшить взаимодействие с сайтом.
Мы обновили сайт, попробуйте новые функции в личном кабинете!

+7 (495) 798-02-48

DDX58 Polyclonal Antibody (E-AB-53369)

Реактивность подтвержденная: человек
Источник (хозяин): кролик
Валидировано для:
IHC
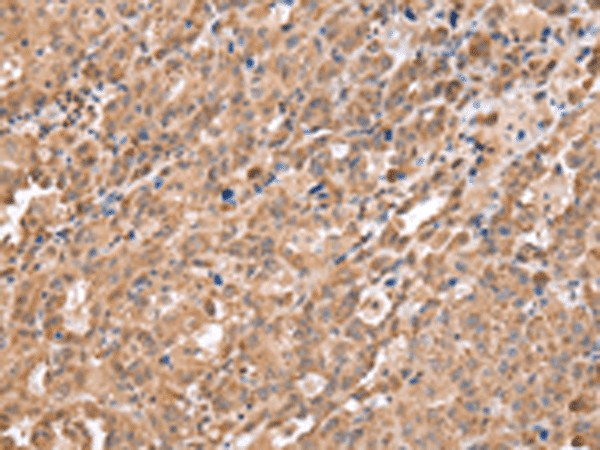
Валидация Elabscience E-AB-53369
Валидация Elabscience E-AB-53369
Immunohistochemistry of paraffin-embedded Human ovarian cancer tissue using DDX58 Polyclonal Antibody at dilution of 1:40(×200)
Валидация Elabscience E-AB-53369
Ближайшая поставка
29.05.26
Характеристики
Техническое описание
Каталожный номер E-AB-53369
Название антигена Retinoic Acid Inducible Gene 1 Protein (RIG1)
UNIPROT O95786
Иммуноген Синтетический пептид, соответствующий человеческому DDX58
Английские синонимы RIG-I, RIGI, DEAD(Asp-Glu-Ala-Asp)box Polypeptide 58, Probable ATP-Dependent RNA Helicase DDX58, RIG-I-like receptor 1
Реактивность подтвержденная
Нужна другая реактивность?
человек
Источник (хозяин) кролик
Изотип IgG
Клональность поликлональное
Рекомбинантное нет
Готовое к использованию нет
Концентрация 1 мг/мл
Конъюгат нет
Валидировано для
IHC
Иммуногистохимия
Рекомендуемые разведения IHC 1:30-1:150
Метод очистки Аффинная очистка с антигеном
Состав буфера PBS с 0.05% NaN3 и 40% глицерин,pH7.4
Условия доставки термобокс с аккумуляторами холода
Условия хранения Хранить при -20°C - 12 месяцев. Избегать повторяющихся циклов замораживания/оттаивания
Срок хранения 12 месяцев
Производитель Elabscience
Ссылка на страницу товара на сайте производителя https://www.elabscience.com/p-ddx58_polyclonal_antibody-e_ab_53369

Назначение

поликлональное антитело от производителя Elabscience к Retinoic Acid Inducible Gene 1 Protein (RIG1) источник — кролик предназначено для детекции целевого антигена в биологических образцах. Продукт характеризуется подтвержденной реактивностью к человек.

Преимущества

  • Высокая специфичность и аффинность
  • Концентрация: 1 мг/мл
  • Оптимизированный состав буфера: PBS с 0.05% NaN3 и 40% глицерин,pH7.4
  • Стабильность: 12 месяцев

Применение в исследованиях

Антитело валидировано для методов: IHC. Подходит для научных исследований в области иммунологии, клеточной биологии и молекулярной диагностики.

Условия хранения

Срок годности: 12 месяцев. Хранить при -20°C - 12 месяцев. Избегать повторяющихся циклов замораживания/оттаивания. Рекомендуется соблюдать температурный режим при транспортировке и хранении.
UNIPROT O95786
Иммуноген Синтетический пептид, соответствующий человеческому DDX58
Артикул
Наименование
Производитель
Артикул
Наименование
Производитель
Артикул
Наименование
Производитель

С нами успешно сотрудничают:

Московский государственный университет им. Ломоносова
Московский государственный университет им. Ломоносова
Московский государственный университет им. Ломоносова
МФТИ
МФТИ
МФТИ
Центр вирусологии и биотехнологии „Вектор“
Центр вирусологии и биотехнологии „Вектор“
Центр вирусологии и биотехнологии „Вектор“
Институт физиологии имени Павлова
Институт физиологии имени Павлова
Институт физиологии имени Павлова
Сеченовский университет
Сеченовский университет
Сеченовский университет
Исследовательский центр им. Алмазова
Исследовательский центр им. Алмазова
Исследовательский центр им. Алмазова
BIOCAD
BIOCAD
BIOCAD
Университет Сириус
Университет Сириус
Университет Сириус
Р-Фарм
Р-Фарм
Р-Фарм
Сколтех
Сколтех
Сколтех
Курчатовский институт
Курчатовский институт
Курчатовский институт
ИБХ РАН
ИБХ РАН
ИБХ РАН
НИЦ эпидемиологии и микробиологии им. Н.Ф.Гамалеи
НИЦ эпидемиологии и микробиологии им. Н.Ф.Гамалеи
НИЦ эпидемиологии и микробиологии им. Н.Ф.Гамалеи
Томский НИМЦ
Томский НИМЦ
Томский НИМЦ
ФИЦ ВИЖ имени Л.К. Эрнста
ФИЦ ВИЖ имени Л.К. Эрнста
ФИЦ ВИЖ имени Л.К. Эрнста
Фонд "Наука - Детям"
Фонд "Наука - Детям"
Фонд "Наука - Детям"
Институт цитологии и генетики СО РАН
Институт цитологии и генетики СО РАН
Институт цитологии и генетики СО РАН
Генериум
Генериум
Генериум

Новости

0
0
0