| UNIPROT | Q9NRR4 |
| Иммуноген | Синтетический пептид, соответствующий человеческому DROSHA |
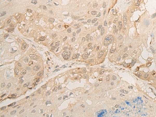
DROSHA Polyclonal Antibody (E-AB-17893)
Реактивность подтвержденная:
человек, мышь
Источник (хозяин):
кролик
Валидировано для:
IHC
Характеристики
Техническое описание
| Каталожный номер | E-AB-17893 |
| Название антигена | Ribonuclease III, Nuclear (RNASEN) |
| UNIPROT | Q9NRR4 |
| Иммуноген | Синтетический пептид, соответствующий человеческому DROSHA |
| Английские синонимы | RnaseIII, RNASE3L, Rnase-III, Etohi2, DROSHA, RN3, RNASE3-L, Ribonuclease Type III, Double-Stranded RNA-Specific Endoribonuclease |
| Русские синонимы | РНКаза III |
Реактивность подтвержденная Нужна другая реактивность? |
человек, мышь |
| Источник (хозяин) | кролик |
| Изотип | IgG |
| Клональность | поликлональное |
| Рекомбинантное | нет |
| Готовое к использованию | нет |
| Концентрация | 1.74 мг/мл |
| Конъюгат | нет |
| Валидировано для | IHC Иммуногистохимия |
| Рекомендуемые разведения | IHC 1:30-1:150 |
| Метод очистки | Аффинная очистка с антигеном |
| Состав буфера | PBS с 0.05% NaN3 и 40% глицерин,pH7.4 |
| Условия доставки | термобокс с аккумуляторами холода |
| Условия хранения | Хранить при -20°C - 12 месяцев. Избегать повторяющихся циклов замораживания/оттаивания |
| Срок хранения | 12 месяцев |
| Производитель | Elabscience |
| Ссылка на страницу товара на сайте производителя | https://www.elabscience.com/p-drosha_polyclonal_antibody-e_ab_17893 |
|
Артикул
|
Наименование |
Производитель
|
|---|
|
Артикул
|
Наименование |
Производитель
|
|---|
Акции и предложения
Популярные продукты:
Recombinant Cynomolgus CTLA-4/CD152 Protein (His Tag) (PKSQ050043)
Источник (хозяин): HEK293
Организм: обезьяна
Фрагмент: Ala37-Ser160
Теги: C-His
Биоактивность: нет
Организм: обезьяна
Фрагмент: Ala37-Ser160
Теги: C-His
Биоактивность: нет
SLC9A7 Polyclonal Antibody (E-AB-12875)
Источник (хозяин): кролик
Реактивность подтвержденная: человек, мышь
Валидировано для: IHC
Реактивность подтвержденная: человек, мышь
Валидировано для: IHC
SEC16B Polyclonal Antibody (E-AB-90923)
Источник (хозяин): кролик
Реактивность подтвержденная: человек, мышь
Валидировано для: WB
Реактивность подтвержденная: человек, мышь
Валидировано для: WB
PAI1 Polyclonal Antibody (D-AB-10382L)
Источник (хозяин): кролик
Реактивность подтвержденная: мышь
Валидировано для: WB
Реактивность подтвержденная: мышь
Валидировано для: WB
GC Polyclonal Antibody (E-AB-10680)
Источник (хозяин): кролик
Реактивность подтвержденная: человек
Валидировано для: IHC, WB
Реактивность подтвержденная: человек
Валидировано для: IHC, WB
DROSHA Polyclonal Antibody (E-AB-17893)
Источник (хозяин): кролик
Реактивность подтвержденная: человек, мышь
Валидировано для: IHC
Реактивность подтвержденная: человек, мышь
Валидировано для: IHC

