| UNIPROT | P20800 |
| Иммуноген | Рекомбинантный белок, соответствующий человеческому EDN2 |
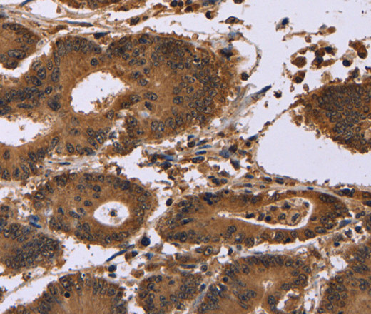
EDN2 Polyclonal Antibody (E-AB-11198)
Реактивность подтвержденная:
человек
Источник (хозяин):
кролик
Валидировано для:
IHC
WB
Характеристики
Техническое описание
| Каталожный номер | E-AB-11198 |
| Название антигена | Endothelin 2 (EDN2) |
| UNIPROT | P20800 |
| Иммуноген | Рекомбинантный белок, соответствующий человеческому EDN2 |
| Английские синонимы | ET2, PPET2, Preproendothelin-2 |
Реактивность подтвержденная Нужна другая реактивность? |
человек |
| Источник (хозяин) | кролик |
| Изотип | IgG |
| Клональность | поликлональное |
| Рекомбинантное | нет |
| Готовое к использованию | нет |
| Концентрация | 0.5 мг/мл |
| Конъюгат | нет |
| Валидировано для | IHC WB Иммуногистохимия; Вестерн-блоттинг |
| Рекомендуемые разведения | WB 1:500-1:2000; IHC 1:50-1:200 |
| Метод очистки | Аффинная хроматография |
| Состав буфера | PBS с 0.05% азид натрия и 50% глицерин, PH7.4 |
| RRID | AB_531337 |
| Условия доставки | термобокс с аккумуляторами холода |
| Условия хранения | Хранить при -20°C - 12 месяцев. Избегать повторяющихся циклов замораживания/оттаивания |
| Срок хранения | 12 месяцев |
| Производитель | Elabscience |
| Ссылка на страницу товара на сайте производителя | https://www.elabscience.com/p-edn2_polyclonal_antibody-e_ab_11198 |
|
Артикул
|
Наименование |
Производитель
|
|---|
|
Артикул
|
Наименование |
Производитель
|
|---|
|
Артикул
|
Наименование |
Производитель
|
|---|
Акции и предложения
Популярные продукты:
Anti-HPV16 E6/Protein E6 Antibody (R4D94) (RVV09005)
Источник (хозяин): мышь
Реактивность подтвержденная: вирусы
Валидировано для: ELISA
Реактивность подтвержденная: вирусы
Валидировано для: ELISA
Sheep 5-Hydroxytryptophan ELISA kit (E14H1454)
Организм: овца
Human 5-Hydroxytryptophan ELISA kit (E01H1454)
Организм: человек
Monkey Endoribonuclease Dicer ELISA Kit (E09D0330)
Организм: обезьяна
Goat SET domain containing 1B ELISA kit (E06S0800)
Организм: коза
Rat SET domain containing 1B ELISA kit (E02S0800)
Организм: крыса

