| UNIPROT | P04626 |
| Иммуноген | Синтетический пептид, соответствующий внутреннему региону человеческого Neu |
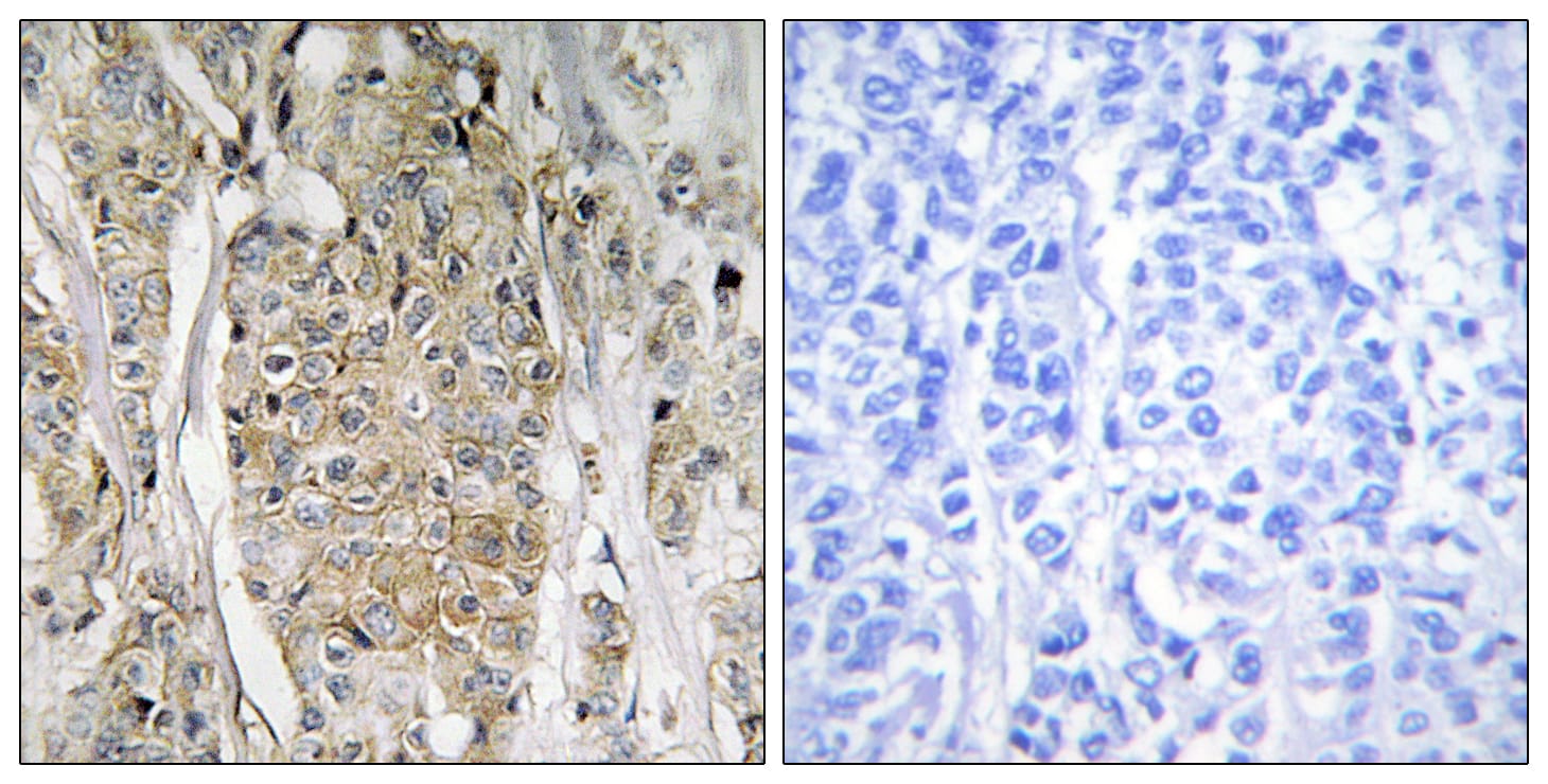
ERBB2 Polyclonal Antibody (E-AB-32198)
Реактивность подтвержденная:
человек, мышь, крыса
Источник (хозяин):
кролик
Валидировано для:
IF
IHC
WB
Характеристики
Техническое описание
| Каталожный номер | E-AB-32198 |
| Название антигена | Epidermal Growth Factor Receptor 2 (EGFR2) |
| UNIPROT | P04626 |
| Иммуноген | Синтетический пептид, соответствующий внутреннему региону человеческого Neu |
| Английские синонимы | CD340, CD 340, CD-340, ErbB2, HER-2/neu, HER2, NEU, MLN 19, NGL, TKR1, p185, V-Erb-B2 Erythroblastic Leukemia Viral Oncogene Homolog 2, Neuro/Glioblastoma Derived Oncogene Homolog |
Реактивность подтвержденная Нужна другая реактивность? |
человек, мышь, крыса |
| Источник (хозяин) | кролик |
| Изотип | IgG |
| Клональность | поликлональное |
| Рекомбинантное | нет |
| Готовое к использованию | нет |
| Концентрация | 1мг/мл |
| Конъюгат | нет |
| Валидировано для | IF IHC WB Иммунофлуоресценция; Иммуногистохимия; Вестерн-блоттинг |
| Рекомендуемые разведения | WB 1:500-1:2000; IHC 1:100-1:300; IF 1:200-1:1000 |
| Метод очистки | Аффинная хроматография |
| Состав буфера | PBS с 0.02% азид натрия,0.5% стабилизирующий белок и 50% глицерин pH 7.4 |
| RRID | AB_542267 |
| Условия доставки | термобокс с аккумуляторами холода |
| Условия хранения | Хранить при -20°C - 12 месяцев. Избегать повторяющихся циклов замораживания/оттаивания |
| Срок хранения | 12 месяцев |
| Производитель | Elabscience |
| Ссылка на страницу товара на сайте производителя | https://www.elabscience.com/p-erbb2_polyclonal_antibody-e_ab_32198 |
|
Артикул
|
Наименование |
Производитель
|
|---|
|
Артикул
|
Наименование |
Производитель
|
|---|
|
Артикул
|
Наименование |
Производитель
|
|---|
|
Артикул
|
Наименование |
Производитель
|
|---|
|
Артикул
|
Наименование |
Производитель
|
|---|
|
Артикул
|
Наименование |
Производитель
|
|---|
Акции и предложения
Популярные продукты:
Human Cysteine and glycine rich protein 1(CSRP1) ELISA kit (E01C2115)
Организм: человек
Диапазон определения: 50-1000 пг/мл
Чувствительность: 1 пг/мл
Диапазон определения: 50-1000 пг/мл
Чувствительность: 1 пг/мл
Sheep Elastase 3B ELISA kit (E14E0066)
Организм: овца
Goat Elastase 3B ELISA kit (E06E0066)
Организм: коза
Mouse Maspin(serpin B5) ELISA kit (E03M0026)
Организм: мышь
Rat N-Methylpurine DNA Glycosylase ELISA kit (E02M1059)
Организм: крыса

