| UNIPROT | Q15303 |
| Иммуноген | Рекомбинантный гибридный белок из человеческого ERBB4 (NP_005226.1) |
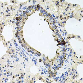
ERBB4 Polyclonal Antibody (E-AB-62732)
Реактивность подтвержденная:
человек, мышь, крыса
Источник (хозяин):
кролик
Валидировано для:
IHC
Характеристики
Техническое описание
| Каталожный номер | E-AB-62732 |
| Название антигена | V-Erb A Erythroblastic Leukemia Viral Oncogene Homolog 4 (ErbB4) |
| UNIPROT | Q15303 |
| Иммуноген | Рекомбинантный гибридный белок из человеческого ERBB4 (NP_005226.1) |
| Английские синонимы | ErbB-4, HER4, P180erbB4, Receptor Tyrosine-Protein Kinase ErbB-4, Proto-oncogene-like protein c-ErbB-4, Tyrosine kinase-type cell surface receptor HER4 |
Реактивность подтвержденная Нужна другая реактивность? |
человек, мышь, крыса |
| Источник (хозяин) | кролик |
| Изотип | IgG |
| Клональность | поликлональное |
| Рекомбинантное | нет |
| Готовое к использованию | нет |
| Концентрация | 1мг/мл |
| Конъюгат | нет |
| Валидировано для | IHC Иммуногистохимия |
| Рекомендуемые разведения | IHC 1:50-1:100 |
| Метод очистки | Аффинная хроматография |
| Состав буфера | PBS с 0.02% азид натрия, 50% глицерин, pH7.3 |
| RRID | AB_526355 |
| Условия доставки | термобокс с аккумуляторами холода |
| Условия хранения | Хранить при -20°C - 12 месяцев. Избегать повторяющихся циклов замораживания/оттаивания |
| Срок хранения | 12 месяцев |
| Производитель | Elabscience |
| Ссылка на страницу товара на сайте производителя | https://www.elabscience.com/p-erbb4_polyclonal_antibody-e_ab_62732 |
|
Артикул
|
Наименование |
Производитель
|
|---|
|
Артикул
|
Наименование |
Производитель
|
|---|
|
Артикул
|
Наименование |
Производитель
|
|---|
|
Артикул
|
Наименование |
Производитель
|
|---|
Акции и предложения
Популярные продукты:
Anti-Transferrin Receptor (TFR) Monoclonal Antibody (FAB171Hu08)
Источник (хозяин): мышь
Реактивность подтвержденная: человек
Валидировано для: FCM
Реактивность подтвержденная: человек
Валидировано для: FCM
Chicken 40S ribosomal protein S9(RPS9) ELISA kit (E12R0152)
Организм: курица
Chicken A Disintegrin And Metalloprotease 9 ELISA kit (E12A0731)
Организм: курица
Bovine Nucleoporin 107kDa ELISA kit (E11N0048)
Организм: корова
InVivoMAb Anti-HAdV-3 L3/CP-H/Protein II Antibody (Iv0220) (VVV04401)
Источник (хозяин): человек
Реактивность подтвержденная: вирусы
Валидировано для: ELISA, NEUT
Реактивность подтвержденная: вирусы
Валидировано для: ELISA, NEUT
Lambda Monoclonal Antibody (PA6934)
Источник (хозяин): мышь
Реактивность подтвержденная: человек
Валидировано для: IHC
Реактивность подтвержденная: человек
Валидировано для: IHC

