| UNIPROT | Q2NKX8 |
| Иммуноген | Рекомбинантный белок, соответствующий человеческому ERCC6L |
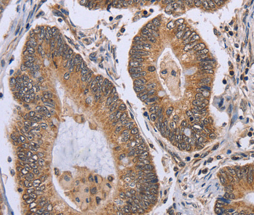
ERCC6L Polyclonal Antibody (E-AB-14995)
Реактивность подтвержденная:
человек
Источник (хозяин):
кролик
Валидировано для:
IHC
Характеристики
Техническое описание
| Каталожный номер | E-AB-14995 |
| Название антигена | Excision Repair Cross Complementing Rodent Repair Deficiency Complementation 6 Like Protein (ERCC6L) |
| UNIPROT | Q2NKX8 |
| Иммуноген | Рекомбинантный белок, соответствующий человеческому ERCC6L |
| Английские синонимы | PICH, DNA excision repair protein ERCC-6-like, ATP-dependent helicase ERCC6-like, PLK1-interacting checkpoint helicase, Tumor antigen BJ-HCC-15 |
Реактивность подтвержденная Нужна другая реактивность? |
человек |
| Источник (хозяин) | кролик |
| Изотип | IgG |
| Клональность | поликлональное |
| Рекомбинантное | нет |
| Готовое к использованию | нет |
| Концентрация | 0.5 мг/мл |
| Конъюгат | нет |
| Валидировано для | IHC Иммуногистохимия |
| Рекомендуемые разведения | IHC 1:50-1:200 |
| Метод очистки | Аффинная хроматография |
| Состав буфера | PBS с 0.05% азид натрия и 50% глицерин, PH7.4 |
| RRID | AB_535136 |
| Условия доставки | термобокс с аккумуляторами холода |
| Условия хранения | Хранить при -20°C - 12 месяцев. Избегать повторяющихся циклов замораживания/оттаивания |
| Срок хранения | 12 месяцев |
| Производитель | Elabscience |
| Ссылка на страницу товара на сайте производителя | https://www.elabscience.com/p-ercc6l_polyclonal_antibody-e_ab_14995 |
|
Артикул
|
Наименование |
Производитель
|
|---|
Акции и предложения
Популярные продукты:
Cimaterol/CIM ELISA Kit (KSN56508)
Организм: для всех
Диапазон определения: 1.56 - 100 нг/мл
Чувствительность: 0.5 нг/мл
Диапазон определения: 1.56 - 100 нг/мл
Чувствительность: 0.5 нг/мл
Mouse Omentin ELISA kit (E03O0010)
Организм: мышь
Monkey Visual system homeobox 1(VSX1) ELISA kit (E09V0077)
Организм: обезьяна
Mouse 14-3-3 protein gamma(YWHAG) ELISA kit (E03Y0006)
Организм: мышь

