| UNIPROT | Q9NPD3 |
| Иммуноген | Гибридный белок, соответствующий человеческому EXOSC4 |
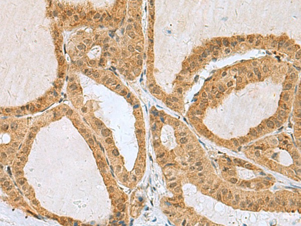
EXOSC4 Polyclonal Antibody (E-AB-19187)
Реактивность подтвержденная:
человек, мышь
Источник (хозяин):
кролик
Валидировано для:
IHC
WB
Характеристики
Техническое описание
| Каталожный номер | E-AB-19187 |
| Название антигена | Exosome Component 4 (EXOSC4) |
| UNIPROT | Q9NPD3 |
| Иммуноген | Гибридный белок, соответствующий человеческому EXOSC4 |
| Английские синонимы | RRP41, RRP41A, Rrp41p, SKI6, Ski6p, hRrp41p, p12A, Ribosomal RNA-processing protein 41 |
Реактивность подтвержденная Нужна другая реактивность? |
человек, мышь |
| Источник (хозяин) | кролик |
| Изотип | IgG |
| Клональность | поликлональное |
| Рекомбинантное | нет |
| Готовое к использованию | нет |
| Концентрация | 0.84 мг/мл |
| Конъюгат | нет |
| Валидировано для | IHC WB Иммуногистохимия; Вестерн-блоттинг |
| Рекомендуемые разведения | WB 1:500-1:2000; IHC 1:50-1:200 |
| Метод очистки | Аффинная очистка с антигеном |
| Состав буфера | PBS с 0.05% NaN3 и 40% глицерин,pH7.4 |
| Условия доставки | термобокс с аккумуляторами холода |
| Условия хранения | Хранить при -20°C - 12 месяцев. Избегать повторяющихся циклов замораживания/оттаивания |
| Срок хранения | 12 месяцев |
| Производитель | Elabscience |
| Ссылка на страницу товара на сайте производителя | https://www.elabscience.com/p-exosc4_polyclonal_antibody-e_ab_19187 |
|
Артикул
|
Наименование |
Производитель
|
|---|
|
Артикул
|
Наименование |
Производитель
|
|---|
|
Артикул
|
Наименование |
Производитель
|
|---|
Акции и предложения
Популярные продукты:
Guinea Pig Cytochrome c oxidase subunit 7B, mitochondrial(COX7B) ELISA kit (E05C1981)
Организм: морская свинка
APC Anti-Mouse IL-17A Antibody[TC11-18H10.1] (FCE3404)
Источник (хозяин): крыса
Реактивность подтвержденная: мышь
Валидировано для: FCM
Реактивность подтвержденная: мышь
Валидировано для: FCM
EXOSC4 Polyclonal Antibody (E-AB-53108)
Источник (хозяин): кролик
Реактивность подтвержденная: человек, мышь
Валидировано для: IHC
Реактивность подтвержденная: человек, мышь
Валидировано для: IHC
EXOSC4 Polyclonal Antibody (E-AB-19187)
Источник (хозяин): кролик
Реактивность подтвержденная: человек, мышь
Валидировано для: IHC, WB
Реактивность подтвержденная: человек, мышь
Валидировано для: IHC, WB
Phospho-CBL (Tyr774) Recombinant Rabbit mAb (ARM2957)
Источник (хозяин): кролик
Реактивность подтвержденная: человек
Валидировано для: FCM, IHC, IP, WB, IF, ICC
Реактивность подтвержденная: человек
Валидировано для: FCM, IHC, IP, WB, IF, ICC

