| UNIPROT | P00488 |
| Иммуноген | Рекомбинантный гибридный белок из человеческого F13A1 (NP_000120.2) |
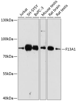
F13A1 Polyclonal Antibody (E-AB-65050)
Реактивность подтвержденная:
человек, мышь, крыса
Источник (хозяин):
кролик
Валидировано для:
WB
Характеристики
Техническое описание
| Каталожный номер | E-AB-65050 |
| Название антигена | Coagulation Factor XIII A1 Polypeptide (F13A1) |
| UNIPROT | P00488 |
| Иммуноген | Рекомбинантный гибридный белок из человеческого F13A1 (NP_000120.2) |
| Английские синонимы | F13-A1, FXIIIA1, Protein-glutamine gamma-glutamyltransferase A chain, Transglutaminase A chain, Coagulation factor XIII A chain |
Реактивность подтвержденная Нужна другая реактивность? |
человек, мышь, крыса |
| Источник (хозяин) | кролик |
| Изотип | IgG |
| Клональность | поликлональное |
| Рекомбинантное | нет |
| Готовое к использованию | нет |
| Концентрация | 1мг/мл |
| Конъюгат | нет |
| Валидировано для | WB Вестерн-блоттинг |
| Рекомендуемые разведения | WB 1:500-1:2000 |
| Метод очистки | Аффинная хроматография |
| Состав буфера | PBS с 0.02% азид натрия, 50% глицерин, pH7.3 |
| RRID | AB_529537 |
| Условия доставки | термобокс с аккумуляторами холода |
| Условия хранения | Хранить при -20°C - 12 месяцев. Избегать повторяющихся циклов замораживания/оттаивания |
| Срок хранения | 12 месяцев |
| Производитель | Elabscience |
| Ссылка на страницу товара на сайте производителя | https://www.elabscience.com/p-f13a1_polyclonal_antibody-e_ab_65050 |
|
Артикул
|
Наименование |
Производитель
|
|---|
|
Артикул
|
Наименование |
Производитель
|
|---|
|
Артикул
|
Наименование |
Производитель
|
|---|
|
Артикул
|
Наименование |
Производитель
|
|---|
Акции и предложения
Популярные продукты:
Anti-Human IA-2/PTPRN Monoclonal Antibody (1A469) (MHH38901)
Источник (хозяин): мышь
Реактивность подтвержденная: человек
Валидировано для: ELISA, IF, IHC, WB
Реактивность подтвержденная: человек
Валидировано для: ELISA, IF, IHC, WB
NADPH Oxidase (NAO) Activity Colorimetric Assay Kit (E-BC-K815-M)
Организм: для всех
Диапазон определения: 0.27 Ед/л
Чувствительность: 0.27-43.43 Ед/л
Диапазон определения: 0.27 Ед/л
Чувствительность: 0.27-43.43 Ед/л
ELISA Kit DIY Materials for Macrophage Inflammatory Protein 1 Alpha (MIP1a) (KSA092Ca01)
Организм: собака
Диапазон определения: 7.8-500 пг/мл
Чувствительность: 2.9 пг/мл
Диапазон определения: 7.8-500 пг/мл
Чувствительность: 2.9 пг/мл
Monoclonal Antibody to Annexin A3 (ANXA3) (MAE786Hu26)
Источник (хозяин): мышь
Реактивность подтвержденная: человек
Валидировано для: WB
Реактивность подтвержденная: человек
Валидировано для: WB

