| UNIPROT | Q5NUL3 |
| Иммуноген | Рекомбинантный гибридный белок из человеческого FFAR4 |
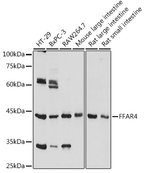
FFAR4 Polyclonal Antibody (E-AB-92119)
Реактивность подтвержденная:
человек, мышь, крыса
Источник (хозяин):
кролик
Валидировано для:
WB
Характеристики
Техническое описание
| Каталожный номер | E-AB-92119 |
| Название антигена | Free Fatty Acid Receptor 4 (FFAR4) |
| UNIPROT | Q5NUL3 |
| Иммуноген | Рекомбинантный гибридный белок из человеческого FFAR4 |
| Английские синонимы | GPR129, GT01, PGR4, GPR120, O3FAR1, G Protein Coupled Receptor 120, Omega-3 fatty acid receptor 1 |
Реактивность подтвержденная Нужна другая реактивность? |
человек, мышь, крыса |
| Источник (хозяин) | кролик |
| Изотип | IgG |
| Клональность | поликлональное |
| Рекомбинантное | нет |
| Готовое к использованию | нет |
| Концентрация | 1мг/мл |
| Конъюгат | нет |
| Валидировано для | WB Вестерн-блоттинг |
| Рекомендуемые разведения | WB 1:500-1:2000 |
| Метод очистки | Аффинная хроматография |
| Состав буфера | PBS с 0.01% тиомерсал,50% глицерин,pH7.3 |
| Условия доставки | термобокс с аккумуляторами холода |
| Условия хранения | Хранить при -20°C - 12 месяцев. Избегать повторяющихся циклов замораживания/оттаивания |
| Срок хранения | 12 месяцев |
| Производитель | Elabscience |
| Ссылка на страницу товара на сайте производителя | https://www.elabscience.com/p-ffar4_polyclonal_antibody-e_ab_92119 |
|
Артикул
|
Наименование |
Производитель
|
|---|
|
Артикул
|
Наименование |
Производитель
|
|---|
|
Артикул
|
Наименование |
Производитель
|
|---|
Акции и предложения
Популярные продукты:
Canine Catenin delta 1(CTNND1) ELISA kit (E08E0197)
Организм: собака
Canine Catenin delta 1(CTNND1) ELISA kit (E08C2153)
Организм: собака
Goat Catenin delta 1(CTNND1) ELISA kit (E06C2153)
Организм: коза
Rabbit Centromere Protein A ELISA kit (E04C0646)
Организм: кролик
Bovine Erythropoietin Receptor ELISA kit (E11E0057)
Организм: корова
Canine Erythropoietin Receptor ELISA kit (E08E0057)
Организм: собака

