| UNIPROT | Q92562 |
| Иммуноген | Рекомбинантный гибридный белок из человеческого FIG4 |
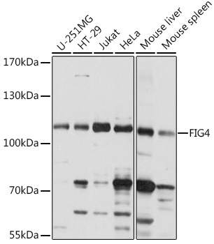
FIG4 Polyclonal Antibody (E-AB-91136)
Реактивность подтвержденная:
человек, мышь
Источник (хозяин):
кролик
Валидировано для:
WB
Характеристики
Техническое описание
| Каталожный номер | E-AB-91136 |
| Название антигена | FIG4 Homolog (FIG4) |
| UNIPROT | Q92562 |
| Иммуноген | Рекомбинантный гибридный белок из человеческого FIG4 |
| Английские синонимы | SAC3, hSac3, ALS11, CMT4J, SAC domain-containing protein 3, Phosphatidylinositol 3,5-bisphosphate 5-phosphatase, Polyphosphoinositide phosphatase |
Реактивность подтвержденная Нужна другая реактивность? |
человек, мышь |
| Источник (хозяин) | кролик |
| Изотип | IgG |
| Клональность | поликлональное |
| Рекомбинантное | нет |
| Готовое к использованию | нет |
| Концентрация | 1мг/мл |
| Конъюгат | нет |
| Валидировано для | WB Вестерн-блоттинг |
| Рекомендуемые разведения | WB 1:200-1:2000 |
| Метод очистки | Аффинная хроматография |
| Состав буфера | PBS с 0.01% тиомерсал,50% глицерин,pH7.3 |
| Условия доставки | термобокс с аккумуляторами холода |
| Условия хранения | Хранить при -20°C - 12 месяцев. Избегать повторяющихся циклов замораживания/оттаивания |
| Срок хранения | 12 месяцев |
| Производитель | Elabscience |
| Ссылка на страницу товара на сайте производителя | https://www.elabscience.com/p-fig4_polyclonal_antibody-e_ab_91136 |
|
Артикул
|
Наименование |
Производитель
|
|---|
|
Артикул
|
Наименование |
Производитель
|
|---|
|
Артикул
|
Наименование |
Производитель
|
|---|
Акции и предложения
Популярные продукты:
Porcine β casein(CSN2) ELISA kit (E07B0896)
Организм: свинья
Mouse β casein(CSN2) ELISA kit (E03B0896)
Организм: мышь
Rat β casein(CSN2) ELISA kit (E02B0896)
Организм: крыса
Human β casein(CSN2) ELISA kit (E01B0896)
Организм: человек
Диапазон определения: 5-100 нг/мл
Чувствительность: 1 нг/мл
Диапазон определения: 5-100 нг/мл
Чувствительность: 1 нг/мл
Human Aquaporin-6(AQP6) ELISA kit (E01A1616)
Организм: человек

