| UNIPROT | P17677 |
| Иммуноген | KLH-конъюгированный синтетический пептид, соответствующий мышиному GAP43 |
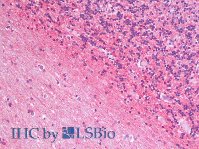
GAP43 Polyclonal Antibody (E-AB-70039)
Реактивность подтвержденная:
человек, мышь, крыса
Источник (хозяин):
кролик
Валидировано для:
IHC
WB
Характеристики
Техническое описание
| Каталожный номер | E-AB-70039 |
| Название антигена | Growth Associated Protein 43 (GAP43) |
| UNIPROT | P17677 |
| Иммуноген | KLH-конъюгированный синтетический пептид, соответствующий мышиному GAP43 |
| Английские синонимы | F1, B-50, PP46, Neuron Growth-Associated Protein 43, Neuromodulin, Axonal Membrane Protein GAP-43, Protein F1, Calmodulin-Binding Protein P-57, Neural Phosphoprotein B-50 |
| Русские синонимы | Белок 43, ассоциированный с ростом нейронов |
Реактивность подтвержденная Нужна другая реактивность? |
человек, мышь, крыса |
| Источник (хозяин) | кролик |
| Изотип | IgG |
| Клональность | поликлональное |
| Рекомбинантное | нет |
| Готовое к использованию | нет |
| Концентрация | 0.63 мг/мл |
| Конъюгат | нет |
| Валидировано для | IHC WB Иммуногистохимия; Вестерн-блоттинг |
| Рекомендуемые разведения | WB 1:800-1:3000; IHC 1:200-1:800 |
| Метод очистки | Аффинная хроматография |
| Состав буфера | PBS с 0.02% азид натрия, 1% стабилизирующий белок и 50% глицерин, pH7.4 |
| RRID | AB_558345 |
| Условия доставки | термобокс с аккумуляторами холода |
| Условия хранения | Хранить при -20°C - 12 месяцев. Избегать повторяющихся циклов замораживания/оттаивания |
| Срок хранения | 12 месяцев |
| Производитель | Elabscience |
| Ссылка на страницу товара на сайте производителя | https://www.elabscience.com/p-gap43_polyclonal_antibody-e_ab_70039 |
|
Артикул
|
Наименование |
Производитель
|
|---|
|
Артикул
|
Наименование |
Производитель
|
|---|
|
Артикул
|
Наименование |
Производитель
|
|---|
|
Артикул
|
Наименование |
Производитель
|
|---|
|
Артикул
|
Наименование |
Производитель
|
|---|
Акции и предложения
Популярные продукты:
Monkey Methylcytosine Dioxygenase TET1 ELISA Kit (E09T0868)
Организм: обезьяна
Mouse Cingulin(CGN) ELISA kit (E03C1644)
Организм: мышь
Porcine Cystatin SA(CST2) ELISA kit (E07C2121)
Организм: свинья
Rat Retinoic Acid Early Transcript 1G ELISA kit (E02R0122)
Организм: крыса

