| UNIPROT | Q9Y2T6 |
| Иммуноген | Синтетический пептид, соответствующий человеческому GPR55 |
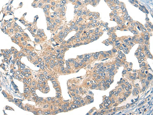
GPR55 Polyclonal Antibody (E-AB-17848)
Реактивность подтвержденная:
человек
Источник (хозяин):
кролик
Валидировано для:
IHC
Характеристики
Техническое описание
| Каталожный номер | E-AB-17848 |
| Название антигена | G Protein Coupled Receptor 55 (GPR55) |
| UNIPROT | Q9Y2T6 |
| Иммуноген | Синтетический пептид, соответствующий человеческому GPR55 |
Реактивность подтвержденная Нужна другая реактивность? |
человек |
| Источник (хозяин) | кролик |
| Изотип | IgG |
| Клональность | поликлональное |
| Рекомбинантное | нет |
| Готовое к использованию | нет |
| Концентрация | 1.8 мг/мл |
| Конъюгат | нет |
| Валидировано для | IHC Иммуногистохимия |
| Рекомендуемые разведения | IHC 1:40-1:200 |
| Метод очистки | Аффинная очистка с антигеном |
| Состав буфера | PBS с 0.05% NaN3 и 40% глицерин,pH7.4 |
| Условия доставки | термобокс с аккумуляторами холода |
| Условия хранения | Хранить при -20°C - 12 месяцев. Избегать повторяющихся циклов замораживания/оттаивания |
| Срок хранения | 12 месяцев |
| Производитель | Elabscience |
| Ссылка на страницу товара на сайте производителя | https://www.elabscience.com/p-gpr55_polyclonal_antibody-e_ab_17848 |
|
Артикул
|
Наименование |
Производитель
|
|---|
|
Артикул
|
Наименование |
Производитель
|
|---|
Акции и предложения
Популярные продукты:
ELISA Kit DIY Materials for Asporin (ASPN) (KSC321Hu01)
Организм: человек
Диапазон определения: 0.312-20 нг/мл
Чувствительность: 0.113 нг/мл
Диапазон определения: 0.312-20 нг/мл
Чувствительность: 0.113 нг/мл
Chicken Periostin ELISA kit (E12P0110)
Организм: курица
Porcine Immunoglobulin Transcription Factor 2 ELISA kit (E07I0763)
Организм: свинья
Monkey Cluster Of Differentiation 109 ELISA kit (E09C0311)
Организм: обезьяна
Rabbit Cluster Of Differentiation 109 ELISA kit (E04C0311)
Организм: кролик
Human Cluster Of Differentiation 109 ELISA kit (E01C0311)
Организм: человек
Диапазон определения: 2.5-50 нг/мл
Чувствительность: 0.1 нг/мл
Диапазон определения: 2.5-50 нг/мл
Чувствительность: 0.1 нг/мл

