| UNIPROT | Q9UBN7 |
| Иммуноген | Рекомбинантный белок, соответствующий человеческому HDAC6 |
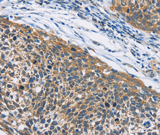
HDAC6 Polyclonal Antibody (E-AB-14126)
Реактивность подтвержденная:
человек
Источник (хозяин):
кролик
Валидировано для:
IHC
Характеристики
Техническое описание
| Каталожный номер | E-AB-14126 |
| Название антигена | Histone Deacetylase 6 (HDAC6) |
| UNIPROT | Q9UBN7 |
| Иммуноген | Рекомбинантный белок, соответствующий человеческому HDAC6 |
| Английские синонимы | HD6, JM21 |
Реактивность подтвержденная Нужна другая реактивность? |
человек |
| Источник (хозяин) | кролик |
| Изотип | IgG |
| Клональность | поликлональное |
| Рекомбинантное | нет |
| Готовое к использованию | нет |
| Концентрация | 0.8 мг/мл |
| Конъюгат | нет |
| Валидировано для | IHC Иммуногистохимия |
| Рекомендуемые разведения | IHC 1:50-1:200 |
| Метод очистки | Аффинная хроматография |
| Состав буфера | PBS с 0.05% азид натрия и 50% глицерин, PH7.4 |
| RRID | AB_534267 |
| Условия доставки | термобокс с аккумуляторами холода |
| Условия хранения | Хранить при -20°C - 12 месяцев. Избегать повторяющихся циклов замораживания/оттаивания |
| Срок хранения | 12 месяцев |
| Производитель | Elabscience |
| Ссылка на страницу товара на сайте производителя | https://www.elabscience.com/p-hdac6_polyclonal_antibody-e_ab_14126 |
|
Артикул
|
Наименование |
Производитель
|
|---|
|
Артикул
|
Наименование |
Производитель
|
|---|
|
Артикул
|
Наименование |
Производитель
|
|---|
|
Артикул
|
Наименование |
Производитель
|
|---|
|
Артикул
|
Наименование |
Производитель
|
|---|
|
Артикул
|
Наименование |
Производитель
|
|---|
Акции и предложения
Популярные продукты:
Multiplex Assay Kit for Hemoglobin Gamma 1 (HBg1) (LMD093Hu)
Организм: человек
Диапазон определения: 29.3-30000 нг/мл
Чувствительность: 9.767 нг/мл
Диапазон определения: 29.3-30000 нг/мл
Чувствительность: 9.767 нг/мл
ELISA Kit DIY Materials for Histidine Rich Glycoprotein (HRG) (KSC534Ra01)
Организм: крыса
Диапазон определения: 0.312-20 нг/мл
Чувствительность: 0.117 нг/мл
Диапазон определения: 0.312-20 нг/мл
Чувствительность: 0.117 нг/мл
ELISA Kit DIY Materials for Prokineticin 2 (PK2) (KSA115Hu11)
Организм: человек
Диапазон определения: 246.9-20000 пг/мл
Чувствительность: 90.9 пг/мл
Диапазон определения: 246.9-20000 пг/мл
Чувствительность: 90.9 пг/мл
ELISA Kit for Carboxypeptidase A3 (CPA3) (SEC395Ra)
Организм: крыса
Диапазон определения: 0.781-50 нг/мл
Чувствительность: 0.84 нг/мл
Диапазон определения: 0.781-50 нг/мл
Чувствительность: 0.84 нг/мл
Human Actin like protein 7B(ACTL7B) ELISA kit (E01A1225)
Организм: человек
Диапазон определения: 25-500 нг/мл
Чувствительность: 1 нг/мл
Диапазон определения: 25-500 нг/мл
Чувствительность: 1 нг/мл

