| UNIPROT | P19367 |
| Иммуноген | Рекомбинантный белок, соответствующий человеческому HK1 |
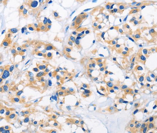
HK1 Polyclonal Antibody (E-AB-10930)
Реактивность подтвержденная:
человек, мышь, крыса
Источник (хозяин):
кролик
Валидировано для:
IHC
Характеристики
Техническое описание
| Каталожный номер | E-AB-10930 |
| Название антигена | Hexokinase 1 (HK1) |
| UNIPROT | P19367 |
| Иммуноген | Рекомбинантный белок, соответствующий человеческому HK1 |
| Английские синонимы | HK1-Ta, HK1-Tb, HK1-Tc, HKI, HXK1, Brain form hexokinase |
Реактивность подтвержденная Нужна другая реактивность? |
человек, мышь, крыса |
| Источник (хозяин) | кролик |
| Изотип | IgG |
| Клональность | поликлональное |
| Рекомбинантное | нет |
| Готовое к использованию | нет |
| Концентрация | 0.4 мг/мл |
| Конъюгат | нет |
| Валидировано для | IHC Иммуногистохимия |
| Рекомендуемые разведения | IHC 1:50-1:200 |
| Метод очистки | Аффинная хроматография |
| Состав буфера | PBS с 0.05% азид натрия и 50% глицерин, PH7.4 |
| RRID | AB_531069 |
| Условия доставки | термобокс с аккумуляторами холода |
| Условия хранения | Хранить при -20°C - 12 месяцев. Избегать повторяющихся циклов замораживания/оттаивания |
| Срок хранения | 12 месяцев |
| Производитель | Elabscience |
| Ссылка на страницу товара на сайте производителя | https://www.elabscience.com/p-hk1_polyclonal_antibody-e_ab_10930 |
|
Артикул
|
Наименование |
Производитель
|
|---|
|
Артикул
|
Наименование |
Производитель
|
|---|
|
Артикул
|
Наименование |
Производитель
|
|---|
|
Артикул
|
Наименование |
Производитель
|
|---|
Акции и предложения
Популярные продукты:
Recombinant Human TGF beta 2 protein(His Tag) (PKSH034148)
Источник (хозяин): E.coli
Организм: человек
Фрагмент: Ala 303-Ser 414
Теги: C-His
Биоактивность: да
Организм: человек
Фрагмент: Ala 303-Ser 414
Теги: C-His
Биоактивность: да
HK1 Polyclonal Antibody (E-AB-10930)
Источник (хозяин): кролик
Реактивность подтвержденная: человек, мышь, крыса
Валидировано для: IHC
Реактивность подтвержденная: человек, мышь, крыса
Валидировано для: IHC
AVPR2 Polyclonal Antibody (E-AB-62638)
Источник (хозяин): кролик
Реактивность подтвержденная: человек
Валидировано для: WB
Реактивность подтвержденная: человек
Валидировано для: WB
Polyclonal Antibody to Superoxide Dismutase 1 (SOD1) (PAB960Mu02)
Источник (хозяин): кролик
Реактивность подтвержденная: мышь
Валидировано для: ICC, IHC, WB
Реактивность подтвержденная: мышь
Валидировано для: ICC, IHC, WB
Recombinant Interleukin 18 (IL18) (RPA064Rb01)
Источник (хозяин): E.coli
Организм: кролик
Фрагмент: Leu32-Asn192 (Accession # B1A3U4)
Теги: N-концевой His-Tag
Биоактивность: нет
Организм: кролик
Фрагмент: Leu32-Asn192 (Accession # B1A3U4)
Теги: N-концевой His-Tag
Биоактивность: нет
Rabbit Anti-NeuN Antibody (SAA2241) (RHA00601)
Источник (хозяин): кролик
Реактивность подтвержденная: человек, мышь, крыса
Валидировано для: FCM, ICC, IF, IHC, WB
Реактивность подтвержденная: человек, мышь, крыса
Валидировано для: FCM, ICC, IF, IHC, WB

