| UNIPROT | P52790 |
| Иммуноген | Рекомбинантный белок, соответствующий человеческому HK3 |
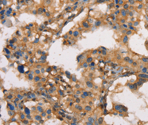
HK3 Polyclonal Antibody (E-AB-14705)
Реактивность подтвержденная:
человек, мышь, крыса
Источник (хозяин):
кролик
Валидировано для:
IHC
Характеристики
Техническое описание
| Каталожный номер | E-AB-14705 |
| Название антигена | Hexokinase 3, White Cell (HK3) |
| UNIPROT | P52790 |
| Иммуноген | Рекомбинантный белок, соответствующий человеческому HK3 |
| Английские синонимы | Hexokinase type III |
Реактивность подтвержденная Нужна другая реактивность? |
человек, мышь, крыса |
| Источник (хозяин) | кролик |
| Изотип | IgG |
| Клональность | поликлональное |
| Рекомбинантное | нет |
| Готовое к использованию | нет |
| Концентрация | 0.6 мг/мл |
| Конъюгат | нет |
| Валидировано для | IHC Иммуногистохимия |
| Рекомендуемые разведения | IHC 1:50-1:200 |
| Метод очистки | Аффинная хроматография |
| Состав буфера | PBS с 0.05% азид натрия и 50% глицерин, PH7.4 |
| RRID | AB_534846 |
| Условия доставки | термобокс с аккумуляторами холода |
| Условия хранения | Хранить при -20°C - 12 месяцев. Избегать повторяющихся циклов замораживания/оттаивания |
| Срок хранения | 12 месяцев |
| Производитель | Elabscience |
| Ссылка на страницу товара на сайте производителя | https://www.elabscience.com/p-hk3_polyclonal_antibody-e_ab_14705 |
|
Артикул
|
Наименование |
Производитель
|
|---|
|
Артикул
|
Наименование |
Производитель
|
|---|
Акции и предложения
Популярные продукты:
ELISA Kit DIY Materials for Surfactant Protein C (SP-C) (KSB623Hu01)
Организм: человек
Диапазон определения: 0.312-20 нг/мл
Чувствительность: 0.112 нг/мл
Диапазон определения: 0.312-20 нг/мл
Чувствительность: 0.112 нг/мл
Porcine Omentin ELISA kit (E07O0010)
Организм: свинья
Human BRCA1 associated RING domain protein 1(BARD1) ELISA kit (E01B0747)
Организм: человек
Bovine Carbohyde sulfotransferase 2(CHST2) ELISA kit (E11C1709)
Организм: корова
Canine Myogenic factor 6(MYF6) ELISA kit (E08M0412)
Организм: собака

