| UNIPROT | P35914 |
| Иммуноген | Рекомбинантный гибридный белок из человеческого HMGCL (NP_000182.2) |
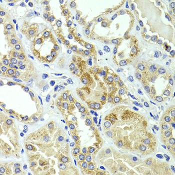
HMGCL Polyclonal Antibody (E-AB-62785)
Реактивность подтвержденная:
человек, мышь, крыса
Источник (хозяин):
кролик
Валидировано для:
IHC
Характеристики
Техническое описание
| Каталожный номер | E-AB-62785 |
| Название антигена | 3-Hydroxymethyl-3-Methylglutaryl Coenzyme A Lyase (HMGCL) |
| UNIPROT | P35914 |
| Иммуноген | Рекомбинантный гибридный белок из человеческого HMGCL (NP_000182.2) |
| Английские синонимы | HL, Hydroxymethylglutaricaciduria, Hydroxymethylglutaryl-CoA lyase, mitochondrial |
Реактивность подтвержденная Нужна другая реактивность? |
человек, мышь, крыса |
| Источник (хозяин) | кролик |
| Изотип | IgG |
| Клональность | поликлональное |
| Рекомбинантное | нет |
| Готовое к использованию | нет |
| Концентрация | 1мг/мл |
| Конъюгат | нет |
| Валидировано для | IHC Иммуногистохимия |
| Рекомендуемые разведения | IHC 1:50-1:200 |
| Метод очистки | Аффинная хроматография |
| Состав буфера | PBS с 0.02% азид натрия, 50% глицерин, pH7.3 |
| RRID | AB_527807 |
| Условия доставки | термобокс с аккумуляторами холода |
| Условия хранения | Хранить при -20°C - 12 месяцев. Избегать повторяющихся циклов замораживания/оттаивания |
| Срок хранения | 12 месяцев |
| Производитель | Elabscience |
| Ссылка на страницу товара на сайте производителя | https://www.elabscience.com/p-hmgcl_polyclonal_antibody-e_ab_62785 |
|
Артикул
|
Наименование |
Производитель
|
|---|
|
Артикул
|
Наименование |
Производитель
|
|---|
|
Артикул
|
Наименование |
Производитель
|
|---|
Акции и предложения
Популярные продукты:
Rabbit ATP Binding Cassette Transporter A1 ELISA kit (E04A0631)
Организм: кролик
Recombinant Human Annexin A1/ANXA1 Protein (PDEH100717)
Источник (хозяин): E.coli
Организм: человек
Фрагмент: Ala 2-Asn 346
Теги: без тега
Биоактивность: нет
Организм: человек
Фрагмент: Ala 2-Asn 346
Теги: без тега
Биоактивность: нет
Recombinant Mouse TG/Thyroglobulin Protein, N-His (YMB93301)
Источник (хозяин): E.coli
Организм: мышь
Фрагмент: Ser2418-Asn2660
Теги: N-His
Биоактивность: нет
Организм: мышь
Фрагмент: Ser2418-Asn2660
Теги: N-His
Биоактивность: нет
HMGCL Polyclonal Antibody (E-AB-62785)
Источник (хозяин): кролик
Реактивность подтвержденная: человек, мышь, крыса
Валидировано для: IHC
Реактивность подтвержденная: человек, мышь, крыса
Валидировано для: IHC
HMGCL Polyclonal Antibody (E-AB-15095)
Источник (хозяин): кролик
Реактивность подтвержденная: человек, мышь, крыса
Валидировано для: IHC, WB
Реактивность подтвержденная: человек, мышь, крыса
Валидировано для: IHC, WB
HMGB4 Polyclonal Antibody (E-AB-14128)
Источник (хозяин): кролик
Реактивность подтвержденная: человек
Валидировано для: WB
Реактивность подтвержденная: человек
Валидировано для: WB

