| UNIPROT | Q53GQ0 |
| Иммуноген | Рекомбинантный белок, соответствующий человеческому HSD17B12 |
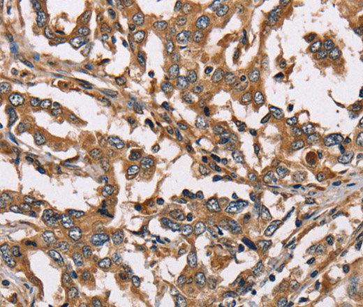
HSD17B12 Polyclonal Antibody (E-AB-15104)
Реактивность подтвержденная:
человек, мышь, крыса
Источник (хозяин):
кролик
Валидировано для:
IHC
WB
Характеристики
Техническое описание
| Каталожный номер | E-AB-15104 |
| Название антигена | 17-Beta-Hydroxysteroid Dehydrogenase Type 12 (HSD17b12) |
| UNIPROT | Q53GQ0 |
| Иммуноген | Рекомбинантный белок, соответствующий человеческому HSD17B12 |
| Английские синонимы | KAR, SDR12C1, Estradiol 17-beta-dehydrogenase 12, 3-Ketoacyl-CoA Reductase, Short Chain Dehydrogenase/Reductase Family 12C,Member 1 |
Реактивность подтвержденная Нужна другая реактивность? |
человек, мышь, крыса |
| Источник (хозяин) | кролик |
| Изотип | IgG |
| Клональность | поликлональное |
| Рекомбинантное | нет |
| Готовое к использованию | нет |
| Концентрация | 0.3 мг/мл |
| Конъюгат | нет |
| Валидировано для | IHC WB Иммуногистохимия; Вестерн-блоттинг |
| Рекомендуемые разведения | WB 1:500-1:2000; IHC 1:50-1:200 |
| Метод очистки | Аффинная хроматография |
| Состав буфера | PBS с 0.05% азид натрия и 50% глицерин, PH7.4 |
| RRID | AB_535246 |
| Условия доставки | термобокс с аккумуляторами холода |
| Условия хранения | Хранить при -20°C - 12 месяцев. Избегать повторяющихся циклов замораживания/оттаивания |
| Срок хранения | 12 месяцев |
| Производитель | Elabscience |
| Ссылка на страницу товара на сайте производителя | https://www.elabscience.com/p-hsd17b12_polyclonal_antibody-e_ab_15104 |
|
Артикул
|
Наименование |
Производитель
|
|---|
|
Артикул
|
Наименование |
Производитель
|
|---|
|
Артикул
|
Наименование |
Производитель
|
|---|
|
Артикул
|
Наименование |
Производитель
|
|---|
Акции и предложения
Популярные продукты:
Rabbit calpain 6(CAPN6) ELISA kit (E04C1362)
Организм: кролик
Anti-Human PREB Polyclonal Antibody (PHK66501)
Источник (хозяин): кролик
Реактивность подтвержденная: человек
Валидировано для: ELISA, IHC, WB
Реактивность подтвержденная: человек
Валидировано для: ELISA, IHC, WB
Anti-MHC class I Antibody (N163/3) (RHN14702)
Источник (хозяин): мышь
Реактивность подтвержденная: для всех
Валидировано для: IHC, WB
Реактивность подтвержденная: для всех
Валидировано для: IHC, WB
HSD17B14 Polyclonal Antibody (E-AB-15108)
Источник (хозяин): кролик
Реактивность подтвержденная: человек
Валидировано для: IHC
Реактивность подтвержденная: человек
Валидировано для: IHC
HSD17B12 Polyclonal Antibody (E-AB-15104)
Источник (хозяин): кролик
Реактивность подтвержденная: человек, мышь, крыса
Валидировано для: IHC, WB
Реактивность подтвержденная: человек, мышь, крыса
Валидировано для: IHC, WB
HSD17B12 Polyclonal Antibody (E-AB-11302)
Источник (хозяин): кролик
Реактивность подтвержденная: человек, мышь, крыса
Валидировано для: IHC, WB
Реактивность подтвержденная: человек, мышь, крыса
Валидировано для: IHC, WB

