| UNIPROT | O43719 |
| Иммуноген | Рекомбинантный гибридный белок из человеческого HTATSF1 (NP_055315.2) |
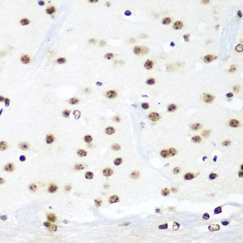
HTATSF1 Polyclonal Antibody (E-AB-62423)
Реактивность подтвержденная:
человек, мышь, крыса
Источник (хозяин):
кролик
Валидировано для:
IHC
Характеристики
Техническое описание
| Каталожный номер | E-AB-62423 |
| Название антигена | HIV1 Tat Specific Factor 1 (HTATSF1) |
| UNIPROT | O43719 |
| Иммуноген | Рекомбинантный гибридный белок из человеческого HTATSF1 (NP_055315.2) |
| Английские синонимы | TAT-SF1 |
Реактивность подтвержденная Нужна другая реактивность? |
человек, мышь, крыса |
| Источник (хозяин) | кролик |
| Изотип | IgG |
| Клональность | поликлональное |
| Рекомбинантное | нет |
| Готовое к использованию | нет |
| Концентрация | 1мг/мл |
| Конъюгат | нет |
| Валидировано для | IHC Иммуногистохимия |
| Рекомендуемые разведения | IHC 1:50-1:100 |
| Метод очистки | Аффинная хроматография |
| Состав буфера | PBS с 0.02% азид натрия, 50% глицерин, pH7.3 |
| RRID | AB_526315 |
| Условия доставки | термобокс с аккумуляторами холода |
| Условия хранения | Хранить при -20°C - 12 месяцев. Избегать повторяющихся циклов замораживания/оттаивания |
| Срок хранения | 12 месяцев |
| Производитель | Elabscience |
| Ссылка на страницу товара на сайте производителя | https://www.elabscience.com/p-htatsf1_polyclonal_antibody-e_ab_62423 |
|
Артикул
|
Наименование |
Производитель
|
|---|
|
Артикул
|
Наименование |
Производитель
|
|---|
Акции и предложения
Популярные продукты:
ELISA Kit DIY Materials for Ribonuclease A2 (RNASE2) (KSD169Hu01)
Организм: человек
Диапазон определения: 0.312-20 нг/мл
Чувствительность: 0.115 нг/мл
Диапазон определения: 0.312-20 нг/мл
Чувствительность: 0.115 нг/мл
ELISA Kit DIY Materials for Neuregulin 4 (NRG4) (KSC174Mu01)
Организм: мышь
Диапазон определения: 0.312-20 нг/мл
Чувствительность: 0.116 нг/мл
Диапазон определения: 0.312-20 нг/мл
Чувствительность: 0.116 нг/мл
ELISA Kit DIY Materials for Telomerase Reverse Transcriptase (TERT) (KSC241Hu01)
Организм: человек
Диапазон определения: 15.6-1000 пг/мл
Чувствительность: 5.7 пг/мл
Диапазон определения: 15.6-1000 пг/мл
Чувствительность: 5.7 пг/мл
Canine Distal less Homeobox 5 ELISA kit (E08D0011)
Организм: собака

