| UNIPROT | Q14623 |
| Иммуноген | Рекомбинантный гибридный белок из человеческого IHH (NP_002172.2) |
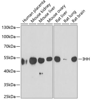
IHH Polyclonal Antibody (E-AB-61257)
Реактивность подтвержденная:
человек, мышь, крыса
Источник (хозяин):
кролик
Валидировано для:
WB
Характеристики
Техническое описание
| Каталожный номер | E-AB-61257 |
| Название антигена | Hedgehog Homolog, Indian (IHH) |
| UNIPROT | Q14623 |
| Иммуноген | Рекомбинантный гибридный белок из человеческого IHH (NP_002172.2) |
| Английские синонимы | BDA1, HHG2 |
Реактивность подтвержденная Нужна другая реактивность? |
человек, мышь, крыса |
| Источник (хозяин) | кролик |
| Изотип | IgG |
| Клональность | поликлональное |
| Рекомбинантное | нет |
| Готовое к использованию | нет |
| Концентрация | 1мг/мл |
| Конъюгат | нет |
| Валидировано для | WB Вестерн-блоттинг |
| Рекомендуемые разведения | WB 1:500-1:2000 |
| Метод очистки | Аффинная хроматография |
| Состав буфера | PBS с 0.02% азид натрия, 50% глицерин, pH7.3 |
| RRID | AB_526727 |
| Условия доставки | термобокс с аккумуляторами холода |
| Условия хранения | Хранить при -20°C - 12 месяцев. Избегать повторяющихся циклов замораживания/оттаивания |
| Срок хранения | 12 месяцев |
| Производитель | Elabscience |
| Ссылка на страницу товара на сайте производителя | https://www.elabscience.com/p-ihh_polyclonal_antibody-e_ab_61257 |
|
Артикул
|
Наименование |
Производитель
|
|---|
|
Артикул
|
Наименование |
Производитель
|
|---|
|
Артикул
|
Наименование |
Производитель
|
|---|
|
Артикул
|
Наименование |
Производитель
|
|---|
|
Артикул
|
Наименование |
Производитель
|
|---|
|
Артикул
|
Наименование |
Производитель
|
|---|
Акции и предложения
Популярные продукты:
Monkey Paired Box Protein Pax-7 ELISA Kit (E09P1242)
Организм: обезьяна
Bovine Advanced Glycosylation End Products ELISA kit (E11A0002)
Организм: корова
Canine Advanced Glycosylation End Products ELISA kit (E08A0002)
Организм: собака
Human Peptide YY ELISA kit (E01P0172)
Организм: человек
Диапазон определения: 25-500 пг/мл
Чувствительность: 1 пг/мл
Диапазон определения: 25-500 пг/мл
Чувствительность: 1 пг/мл
Bovine Oxidized lowdensity lipoprotein ELISA kit (E11O0341)
Организм: корова
Recombinant Human IDH1 Protein, N-His (YHB33401)
Источник (хозяин): E.coli
Организм: человек
Фрагмент: Met1-Leu414
Теги: N-His
Биоактивность: нет
Организм: человек
Фрагмент: Met1-Leu414
Теги: N-His
Биоактивность: нет

